< Online OsiriX Documentation

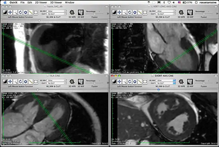
How does one simultaneously view multiple series? Select the “Tile Windows” from the “2D Viewer” menu. This function will tile all opened windows and you will be able to see all opened series at the same time.

4 series opened simultaneously. Note that if all series are from the same study, you will able to see where the slice in the series you are navigating is located on the other series.
This article is issued from Wikibooks. The text is licensed under Creative Commons - Attribution - Sharealike. Additional terms may apply for the media files.