Homeostasis — Cells — Integumentary — Nervous — Senses — Muscular — Blood — Cardiovascular — Immune — Urinary — Respiratory — Gastrointestinal — Nutrition — Endocrine — Reproduction (male) — Reproduction (female) — Pregnancy — Genetics — Development — Answers
The central nervous system includes the brain and spinal cord. The brain and spinal cord are protected by bony structures, membranes, and fluid. The brain is held in the cranial cavity of the skull and it consists of the cerebrum, cerebellum, and the brain stem. The nerves involved are cranial nerves and spinal nerves.

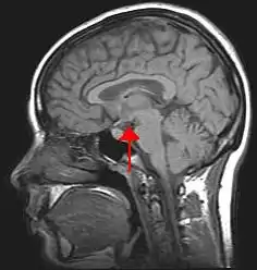
Overview of the entire nervous system
The nervous system has three main functions: sensory input, integration of data and motor output. Sensory input is when the body gathers information or data, by way of neurons, glia and synapses. The nervous system is composed of excitable nerve cells (neurons) and synapses that form between the neurons and connect them to centers throughout the body or to other neurons. These neurons operate on excitation or inhibition, and although nerve cells can vary in size and location, their communication with one another determines their function. These nerves conduct impulses from sensory receptors to the brain and spinal cord. The data is then processed by way of integration of data, which occurs only in the brain. After the brain has processed the information, impulses are then conducted from the brain and spinal cord to muscles and glands, which is called motor output. Glia cells are found within tissues and are not excitable but help with myelination, ionic regulation and extracellular fluid.
The nervous system is comprised of two major parts, or subdivisions, the central nervous system (CNS) and the peripheral nervous system (PNS). The CNS includes the brain and spinal cord. The brain is the body's "control center". The CNS has various centers located within it that carry out the sensory, motor and integration of data. These centers can be subdivided to Lower Centers (including the spinal cord and brain stem) and Higher centers communicating with the brain via effectors. The PNS is a vast network of spinal and cranial nerves that are linked to the brain and the spinal cord. It contains sensory receptors which help in processing changes in the internal and external environment. This information is sent to the CNS via afferent sensory nerves. The PNS is then subdivided into the autonomic nervous system and the somatic nervous system. The autonomic has involuntary control of internal organs, blood vessels, smooth and cardiac muscles. The somatic has voluntary control of skin, bones, joints, and skeletal muscle. The two systems function together, by way of nerves from the PNS entering and becoming part of the CNS, and vice versa.
General functions of the CNS

When the central nervous system becomes damaged or peripheral nerves become trapped, it can increase or decrease your internal organs functionality, it can even affect your facial expressions, i.e. make you frown a lot, your smile becomes lopsided, your lungs can overwork, or underwork, the lung capacity is increased or decreased, your bladder can fill , but you are unable to urinate, your bowels become lapsed and you are unable to completely clear them upon each bowel movement, the muscles in your arms, legs, and torso can become weaker and more fatty, not from lack of use, but from the nerves that run from your spine into them being restricted from working properly, you can suffer headaches, earaches, sore throats, blocked sinuses. Even your ability to orgasm can be affected.
The "Central Nervous System", comprised of the brain, brain stem, and spinal cord.
The central nervous system (CNS) represents the largest part of the nervous system, including the brain and the spinal cord. Together with the peripheral nervous system (PNS), it has a fundamental role in the control of behavior.
The CNS is conceived as a system devoted to information processing, where an appropriate motor output is computed as a response to a sensory input. Many threads of research suggest that motor activity exists well before the maturation of the sensory systems, and senses only influence behavior without dictating it.
Structure and function of neurons
Structure
Neurons are highly specialized for the processing and transmission of cellular signals. Given the diversity of functions performed by neurons in different parts of the nervous system, there is, as expected, a wide variety in the shape, size, and electrochemical properties of neurons. For instance, the soma of a neuron can vary in size from 4 to 100 micrometers in diameter.
The soma (cell body) is the central part of the neuron. It contains the nucleus of the cell and therefore is where most protein synthesis occurs. The nucleus ranges from 3 to 18 micrometers in diameter. The dendrites of a neuron are cellular extensions with many branches, and metaphorically this overall shape and structure are referred to as a dendritic tree. This is where the majority of input to the neuron occurs. However, information outflow (i.e. from dendrites to other neurons) can also occur (except in chemical synapse in which backflow of impulse is inhibited by the fact that axon does not possess chemoreceptors and dendrites cannot secrete neurotransmitter chemical). This explains one-way conduction of nerve impulse. The axon is a finer, cable-like projection which can extend tens, hundreds, or even tens of thousands of times the diameter of the soma in length. The axon carries nerve signals away from the soma (and also carry some types of information back to it). Many neurons have only one axon, but this axon may - and usually will - undergo extensive branching, enabling communication with many target cells. The part of the axon where it emerges from the soma is called the 'axon hillock'. Besides being an anatomical structure, the axon hillock is also the part of the neuron that has the greatest density of voltage-dependent sodium channels. This makes it the most easily-excited part of the neuron and the spike initiation zone for the axon: in neurological terms, it has the greatest hyperpolarized action potential threshold. While the axon and axon hillock are generally involved in information outflow, this region can also receive input from other neurons as well. The axon terminal is a specialized structure at the end of the axon that is used to release neurotransmitter chemicals and communicate with target neurons. Although the canonical view of the neuron attributes dedicated functions to its various anatomical components, dendrites and axons often act in ways contrary to their so-called main function.
Axons and dendrites in the central nervous system are typically only about a micrometer thick, while some in the peripheral nervous system are much thicker. The soma is usually about 10–25 micrometers in diameter and often is not much larger than the cell nucleus it contains. The longest axon of a human motor neuron can be over a meter long, reaching from the base of the spine to the toes. Sensory neurons have axons that run from the toes to the dorsal columns, over 1.5 meters in adults. Giraffes have single axons several meters in length running along the entire length of their necks. Much of what is known about axonal function comes from studying the squids' giant axon, an ideal experimental preparation because of its relatively immense size (0.5–1 millimeter thick, several centimeters long).
Function
Sensory afferent neurons convey information from tissues and organs into the central nervous system. Efferent neurons transmit signals from the central nervous system to the effector cells and are sometimes called motor neurons. Interneurons connect neurons within specific regions of the central nervous system. Afferent and efferent can also refer generally to neurons which, respectively, bring information to or send information from the brain region.
Classification by action on other neurons
Excitatory neurons excite their target postsynaptic neurons or target cells causing it to function. Motor neurons and somatic neurons are all excitatory neurons. Excitatory neurons in the brain are often glutamatergic. Spinal motor neurons, which synapse on muscle cells, use acetylcholine as their neurotransmitter. Inhibitory neurons inhibit their target neurons. Inhibitory neurons are also known as short axon neurons, interneurons The output of some brain structures (neostriatum, globus pallidus, cerebellum) are inhibitory. The primary inhibitory neurotransmitters are GABA and glycine. Modulatory neurons evoke more complex effects termed neuromodulation. These neurons use such neurotransmitters as dopamine, acetylcholine, serotonin and others. Each synapses can receive both excitatory and inhibitory signals and the outcome is determined by the adding up of summation.
Excitatory and inhibitory process

The release of an excitatory neurotransmitter (e.g. glutamate) at the synapses will cause an inflow of positively charged sodium ions (Na+) making a localized depolarization of the membrane. The current then flows to the resting (polarized) segment of the axon.
Inhibitory synapse causes an inflow of Cl- (chlorine) or outflow of K+ (potassium) making the synaptic membrane hyperpolarized. This increase prevents depolarization, causing a decrease in the possibility of an axon discharge. If they are both equal to their charges, then the operation will cancel itself out. This effect is referred to as summation.
There are two types of summation: spatial and temporal. Spatial summation requires several excitatory synapses (firing several times) to add up, thus causing an axon discharge. It also occurs within inhibitory synapses, where just the opposite will occur. In temporal summation, it causes an increase of the frequency at the same synapses until it is large enough to cause a discharge. Spatial and temporal summation can occur at the same time as well.
The neurons of the brain release inhibitory neurotransmitters far more than excitatory neurotransmitters, which helps explain why we are not aware of all memories and all sensory stimuli simultaneously. The majority of information stored in the brain is inhibited most of the time.
Summation
When excitatory synapses exceed the number of inhibitory synapses there are, then the excitatory synapses will prevail over the other. The same goes with inhibitory synapses, if there are more inhibitory synapses than excitatory, the synapses will be inhibited. To determine all of this is called summation.
Classification by discharge patterns:
Neurons can be classified according to their electrophysiological characteristics (note that a single action potential is not enough to move a large muscle, and instead will cause a twitch).
Tonic or regular spiking: Some neurons are typically constantly (or tonically) active. Example: interneurons in the neostriatum.
Phasic or bursting: Neurons that fire in bursts is called phasic.
Fast spiking: Some neurons are notable for their fast firing rates. For example, some types of cortical inhibitory interneurons, cells in globus pallidus.
Thin-spike: Action potentials of some neurons are more narrow compared to the others. For example, interneurons in the prefrontal cortex are thin-spike neurons.
Classification by neurotransmitter released:
Some examples are cholinergic, GABAergic, glutamatergic and dopaminergic neurons.
Central Nervous System
The central nervous system is the control center for the body. It regulates organ function, higher thought, and movement of the body. The central nervous system consists of the brain and spinal cord.
Generation & propagation of an action potential

The Nerve Impulse

When a nerve is stimulated the resting potential changes. Examples of such stimuli are pressure, electricity, chemicals, etc. Different neurons are sensitive to different stimuli(although most can register pain). The stimulus causes sodium ion channels to open. The rapid change in polarity that moves along the nerve fiber is called the "action potential." In order for an action potential to occur, it must reach threshold. If threshold does not occur, then no action potential can occur. This moving change in polarity has several stages:
- Depolarization
- The upswing is caused when positively charged sodium ions (Na+) suddenly rush through open sodium gates into a nerve cell. The membrane potential of the stimulated cell undergoes a localized change from -55 millivolts to 0 in a limited area. As additional sodium rushes in, the membrane potential actually reverses its polarity so that the outside of the membrane is negative relative to the inside. During this change of polarity the membrane actually develops a positive value for a moment(+30 millivolts). The change in voltage stimulates the opening of additional sodium channels (called a voltage-gated ion channel). This is an example of a positive feedback loop.
- Repolarization
- The downswing is caused by the closing of sodium ion channels and the opening of potassium ion channels. Release of positively charged potassium ions (K+) from the nerve cell when potassium gates open. Again, these are opened in response to the positive voltage--they are voltage gated. This expulsion acts to restore the localized negative membrane potential of the cell (about -65 or -70 mV is typical for nerves).
sodium potassium pump
- Hyperpolarization
When the potassium ions are below resting potential (-90 mV). Since the cell is hyper polarized, it goes to a refractory phrase.
- Refractory phase
- The refractory period is a short period of time after the depolarization stage. Shortly after the sodium gates open, they close and go into an inactive conformation. The sodium gates cannot be opened again until the membrane is repolarized to its normal resting potential. The sodium-potassium pump returns sodium ions to the outside and potassium ions to the inside. During the refractory phase this particular area of the nerve cell membrane cannot be depolarized. This refractory area explains why action potentials can only move forward from the point of stimulation.
Factors that affect sensitivity and speed
- Sensitivity
- Increased permeability of the sodium channel occurs when there is a deficit of calcium ions. When there is a deficit of calcium ions (Ca+2) in the interstitial fluid, the sodium channels are activated (opened) by very little increase of the membrane potential above the normal resting level. The nerve fiber can therefore fire off action potentials spontaneously, resulting in tetany. This could be caused by the lack of hormone from parathyroid glands. It could also be caused by hyperventilation, which leads to a higher pH, which causes calcium to bind and become unavailable.
- Speed of Conduction
- This area of depolarization/repolarization/recovery moves along a nerve fiber like a very fast wave. In myelinated fibers, conduction is hundreds of times faster because the action potential only occurs at the nodes of Ranvier (pictured below in 'types of neurons') by jumping from node to node. This is called "saltatory" conduction. Damage to the myelin sheath by the disease can cause severe impairment of nerve cell function. Some poisons and drugs interfere with nerve impulses by blocking sodium channels in nerves. See discussion on drug at the end of this outline.
Brain

The brain is found in the cranial cavity. Within it are found the higher nerve centers responsible for coordinating the sensory and motor systems of the body (forebrain). The brain stem houses the lower nerve centers (consisting of midbrain, pons, and medulla),
Medulla
The medulla is the control center for respiratory, cardiovascular and digestive functions.
Pons
The pons houses the control centers for respiration and inhibitory functions. Here it will interact with the cerebellum.
Cerebrum
The cerebrum, or top portion of the brain, is divided by a deep crevice, called the longitudinal sulcus. The longitudinal sulcus separates the cerebrum in to the right and left hemispheres. In the hemispheres you will find the cerebral cortex, basal ganglia and the limbic system. The two hemispheres are connected by a bundle of nerve fibers called the corpus callosum. The right hemisphere is responsible for the left side of the body while the opposite is true of the left hemisphere. Each of the two hemispheres are divided into four separated lobes: the frontal in control of specialized motor control, learning, planning and speech; parietal in control of somatic sensory functions; occipital in control of vision; and temporal lobes which consists of hearing centers and some speech. Located deep to the temporal lobe of the cerebrum is the insula.
Cerebellum
The cerebellum is the part of the brain that is located posterior to the medulla oblongata and pons. It coordinates skeletal muscles to produce smooth, graceful motions. The cerebellum receives information from our eyes, ears, muscles, and joints about what position our body is currently in (proprioception). It also receives output from the cerebral cortex about where these parts should be. After processing this information, the cerebellum sends motor impulses from the brain stem to the skeletal muscles. The main function of the cerebellum is coordination. The cerebellum is also responsible for balance and posture. It also assists us when we are learning a new motor skill, such as playing a sport or musical instrument. Recent research shows that apart from motor functions cerebellum also has some emotional role.
The Limbic System and Higher Mental Functions

The Limbic System
The Limbic System is a complex set of structures found just beneath the cerebrum and on both sides of the thalamus. It combines higher mental functions, and primitive emotion, into one system. It is often referred to as the emotional nervous system. It is not only responsible for our emotional lives, but also our higher mental functions, such as learning and formation of memories. The Limbic system explains why some things seem so pleasurable to us, such as eating and why some medical conditions are caused by mental stress, such as high blood pressure. There are two significant structures within the limbic system and several smaller structures that are important as well. They are:
- The Hippocampus
- The Amygdala
- The Thalamus
- The Hypothalamus
- The Fornix and Parahippocampus
- The Cingulate Gyrus
Structures of the Limbic System
Hippocampus
- The Hippocampus is found deep in the temporal lobe, shaped like a seahorse. It consists of two horns that curve back from the amygdala. It is situated in the brain so as to make the prefrontal area aware of our past experiences stored in that area. The prefrontal area of the brain consults this structure to use memories to modify our behavior. The hippocampus is a primary contributor to memory.
Amygdala
- The Amygdala is a little almond shaped structure, deep inside the anteroinferior region of the temporal lobe, that connects with the hippocampus, the septi nuclei, the prefrontal area and the medial dorsal nucleus of the thalamus. These connections make it possible for the amygdala to play its important role on the mediation and control of such activities and feelings as love, friendship, affection, and expression of mood. The amygdala is the center for identification of danger and is fundamental for self preservation. The amygdala is the nucleus responsible for fear.
Thalamus
- Lesions or stimulation of the medial, dorsal, and anterior nuclei of the thalamus are associated with changes in emotional reactivity. However, the importance of these nuclei on the regulation of emotional behavior is not due to the thalamus itself, but to the connections of these nuclei with other limbic system structures. The medial dorsal nucleus makes connections with cortical zones of the prefrontal area and with the hypothalamus. The anterior nuclei connect with the mamillary bodies and through them, via fornix, with the hippocampus and the cingulated gyrus, thus taking part in what is known as the Papez's circuit.

Hypothalamus
- The Hypothalamus is a small part of the brain located just below the thalamus on both sides of the third ventricle. Lesions of the hypothalamus interfere with several vegetative functions and some so called motivated behaviors like sexuality, combativeness, and hunger. The hypothalamus also plays a role in emotion. Specifically, the lateral parts seem to be involved with pleasure and rage, while the medial part is linked to aversion, displeasure, and a tendency to uncontrollable and loud laughing. However, in general the hypothalamus has more to do with the expression of emotions. When the physical symptoms of emotion appear, the threat they pose returns, via the hypothalamus, to the limbic centers and then the prefrontal nuclei, increasing anxiety.
The Fornix and Parahippocampal
- These small structures are important connecting pathways for the limbic system.
The Cingulate Gyrus
- The Cingulate Gyrus is located in the medial side of the brain between the cingulated sulcus and the corpus callosum. There is still much to be learned about this gyrus, but it is already known that its frontal part coordinates smells and sights, with pleasant memories of previous emotions. The region participates in the emotional reaction to pain and in the regulation of aggressive behavior.
Memory and Learning
Memory is defined as : The mental faculty of retaining and recalling past experiences, the act or instance of remembering recollection. Learning takes place when we retain and utilize past memories.
Overall, the mechanisms of memory are not completely understood. Brain areas such as the hippocampus, the amygdala, the striatum, or the mammillary bodies are thought to be involved in specific types of memory. For example, the hippocampus is believed to be involved in spatial learning and declarative learning (learning information such as what you're reading now), while the amygdala is thought to be involved in emotional memory. Damage to certain areas in patients and animal models and subsequent memory deficits is a primary source of information. However, rather than implicating a specific area, it could be that damage to adjacent areas, or to a pathway traveling through the area is actually responsible for the observed deficit. Further, it is not sufficient to describe memory, and its counterpart, learning, as solely dependent on specific brain regions. Learning and memory are attributed to changes in neuronal synapses, thought to be mediated by long-term potentiation and long-term depression.
There are three basic types of memory:
- Sensory Memory
- Short Term Memory
- Long Term Memory
Sensory Memory
- The sensory memories act as a buffer for stimuli through senses. A sensory memory retains an exact copy of what is seen or heard: iconic memory for visual, echoic memory for aural and haptic memory for touch. Information is passed from sensory memory into short term memory. Some believe it lasts only 300 milliseconds, it has unlimited capacity. Selective attention determines what information moves from sensory memory to short term memory.
Short Term Memory
- Short Term Memory acts as a scratch pad for temporary recall of the information under process. For instance, in order to understand this sentence you need to hold in your mind the beginning of the sentence as you read the rest. Short term memory decays rapidly and also has a limited capacity. Chunking of information can lead to an increase in the short term memory capacity, this is the reason why a hyphenated phone number is easier to remember than a single long number. The successful formation of a chunk is known as closure. Interference often causes disturbance in short term memory retention. This accounts for the desire to complete a task held in short term memory as soon as possible.
Within short term memory there are three basic operations:
- Iconic memory - the ability to hold visual images
- Acoustic memory - the ability to hold sounds. Can be held longer than iconic.
- Working memory - an active attentional process to keep it until it is put to use. Note that the goal is not really to move the information from short term memory to long term memory, but merely to put it to immediate use.
The process of transferring information from short term to long term memory involves the encoding or consolidation of information. This is not a function of time, that is, the longer the memory stays in the short term the more likely it is to be placed in the long term memory. On organizing complex information in short term before it can be encoded into the long term memory, in this process the meaningfulness or emotional content of an item may play a greater role in its retention in the long term memory. The limbic system sets up local reverberating circuits such as the Papez's Circuit.
Long Term Memory
- Long Term Memory is used for storage of information over a long time. Information from short to long term memory is transferred after a short period. Unlike short term memory, long term memory has little decay. Long term potential is an enhanced response at the synapse within the hippocampus. It is essential to memory storage. The limbic system isn't directly involved in long term memory necessarily but it selects them from short term memory, consolidates these memories by playing them like a continuous tape, and involves the hippocampus and amygdala.
There are two types of long term memory:
- Episodic Memory
- Semantic Memory
Episodic memory represents our memory of events and experiences in a serial form. It is from this memory that we can reconstruct the actual events that took place at a given point in our lives. Semantic memory, on the other hand, is a structured record of facts, concepts, and skills that we have acquired. The information in the semantic memory is derived from our own episode memory, such as that we can learn new facts or concepts from experiences.
There are three main activities that are related to long term memory:
- Storage
- Deletion
- Retrieval
Information for short term memory is stored in long term memory by rehearsal. The repeated exposure to a stimulus or the rehearsal of a piece of information transfers it into long term memory. Experiments also suggest that learning is most effective if it is distributed over time. Deletion is mainly caused by decay and interference. Emotional factors also affect long term memory. However, it is debatable whether we actually ever forget anything or whether it just sometimes becomes increasingly difficult to retrieve it. Information may not be recalled sometimes but may be recognized, or may be recalled only with prompting. This leads us to the third operation of memory, information retrieval.
There are two types of information retrieval:
- Recall
- Recognition
In recall, the information is reproduced from memory. In recognition the presentation of the information provides the knowledge that the information has been seen before. Recognition is of lesser complexity, as the information is provided as a cue. However, the recall may be assisted by the provision of retrieval cues which enable the subject to quickly access the information in memory.
Long-term Potentiation
.
Long-term potentiation (LTP) is the lasting enhancement of connections between two neurons that results from stimulating them simultaneously. Since neurons communicate via chemical synapses, and because memories are believed to be stored by virtue of patterns of activation of these synapses, LTP and its opposing process, long-term depression, are widely considered the major cellular mechanisms that underlie learning and memory. This has been proven by lab experiments. When one of the chemicals involved (PKMzeta, it will be discussed later) is inhibited in rats, it causes retrograde amnesia with short term memory left intact (meaning they can't recall events from before the inhibitor was given).
By enhancing synaptic transmission, LTP improves the ability of two neurons, one presynaptic and the other postsynaptic, to communicate with one another across a synapse. The precise mechanism for this enhancement isn't known, but it varies based on things like brain region, age and species. This will focus on LTP in the CA1 section of the hippocampus, because that's what is well known.
The end result of LTP is a well established neural circuit that can be called upon later for memory.
LTP in the CA1 hippocampus is called NMDA receptor-dependent LTP. It has four main properties.
- Rapid induction
- LTP can be rapidly induced by applying one or more brief, high-frequency, stimulus to a presynaptic cell.
- Input specificity
- Once induced, LTP at one synapse does not spread to other synapses; rather LTP is input specific. LTP is only propagated to those synapses according to the rules of associativity and cooperativity.
- Associativity
- Associativity refers to the observation that when weak stimulation of a single pathway is insufficient for the induction of LTP, simultaneous strong stimulation of another pathway will induce LTP at both pathways.
- Cooperativity
- LTP can be induced either by strong tetanic stimulation of a single pathway to a synapse, or cooperatively via the weaker stimulation of many. When one pathway into a synapse is stimulated weakly, it produces insufficient postsynaptic depolarization to induce LTP. In contrast, when weak stimuli are applied to many pathways that converge on a single patch of postsynaptic membrane, the individual postsynaptic depolarizations generated may collectively depolarize the postsynaptic cell enough to induce LTP cooperatively. Synaptic tagging, discussed later, may be a common mechanism underlying associativity and cooperativity.
LTP is generally divided into three parts that occur sequentially: Short-term potentiation, early LTP (E-LTP) and late LTP (L-LTP). Short-term potentiation isn't well understood and will not be discussed.
E-LTP and L-LTP phases of LTP are each characterized by a series of three events: induction, maintenance and expression. Induction happens when a short-lived signal triggers that phase to begin. Maintenance corresponds to the persistent biochemical changes that occur in response to the induction of that phase. Expression entails the long-lasting cellular changes that result from activation of the maintenance signal.
Each phase of LTP has a set of mediator molecules that dictate the events of that phase. These molecules include protein receptors, enzymes, and signaling molecules that allow progression from one phase to the next. In addition to mediators, there are modulator molecules that interact with mediators to fine tune the LTP. Modulators are a bit beyond the scope of this introductory book, and won't be discussed here.
Early Phase
- Induction
E-LTP induction begins when the calcium inside the postsynaptic cell exceeds a threshold. In many types of LTP, the flow of calcium into the cell requires the NMDA receptor, which is why these types of LTP are considered NMDA receptor-dependent.
When a stimulus is applied to the presynaptic neuron, it releases a neurotransmitter, typically glutamate, onto the postsynaptic cell membrane where it binds to AMPA receptors, or AMPARs. This causes an influx of sodium ions into the postsynaptic cell, this short lived depolarization is called the excitatory postsynaptic potential (EPSP) and makes it easier for the neuron to fire an action potential.
A single stimulus doesn't cause a big enough depolarization to trigger an E-LTP, instead it relies on EPSP summation. If EPSPs are reaching the cell before the others decay, they will add up. When the depolarization reaches a critical level, NMDA receptors lose the magnesium molecule they were originally plugged with and let calcium in. The rapid rise in calcium within the postsynaptic neuron trigger the short lasting activation of several enzymes that mediate E-LTP induction. Of particular importance are some protein kinase enzymes, including CaMKII and PKC. To a lesser extent, PKA and MAPK activation also contribute.
- Maintenance
During the maintenance stage of E-LTP, CaMKII and PKC lose their dependence on calcium and become autonomously active. They then carry out phosphorylation that underlies E-LTP expression.
- Expression
CaMKII and PKC phosphorylate existing AMPA receptors to increase their activity, and mediate the insertion of additional AMPA receptors onto the postsynaptic cell membrane. This is achieved by having a pool of nonsynaptic AMPA receptors adjacent to the postsynaptic membrane. When the appropriate stimulus arrives, the nonsynaptic AMPA receptors are brought into the postsynaptic membrane under the influence of protein kinases.
AMPA receptors are one of the most common type of receptors in the brain. Their effect is excitatory. By adding more AMPA receptors, and increasing their activity, future stimuli will generate larger postsynaptic responses.
Late Phase
Late LTP is the natural extension of E-LTP. L-LTP requires gene transcription and protein synthesis in the postsynaptic cell, unlike E-LTP. Late LTP is also associated with the presynaptic synthesis of synaptotagmin and an increase in synaptic vesicle number, suggesting that L-LTP induces protein synthesis not only in postsynaptic cells, but in presynaptic cells as well. This is discussed under "retrograde messenger" below.
- Induction
Late LTP is induced by changes in gene expression and protein synthesis brought about by persistent activation of protein kinases activated during E-LTP, such as MAPK. In fact, MAPK--Specifically the ERK subfamily of MAPKs--may be the molecular link between E-LTP and L-LTP, since many signaling cascades involved in E-LTP, including CaMKII and PKC, can converge on ERK.
- Maintenance
Upon activation, ERK may phosphorylate a number of cytoplasmic and nuclear molecules that ultimately result in the protein synthesis and morphological changes associated with L-LTP. These chemicals may include transcription factors such as CREB. ERK-mediated changes in transcription factor activity may trigger the synthesis of proteins that underlie the maintenance of L-LTP. PKMzeta is one such molecule. When this molecule is inhibited in rats, they experience retrograde amnesia (where you can't recall previous events but short term memory works fine).
- Expression
Aside from PKMzeta, many of the proteins synthesized during L-LTP are unknown. They are though to increase postsynaptic dendritic spine number, surface area and sensitivity to the neurotransmitter associated with L-LTP expression.
Retrograde Signaling
Retrograde signaling is a hypothesis that attempts to explain that, while LTP is induced and expressed postsynaptically, some evidence suggests that it is expressed presynaptically as well. The hypothesis gets its name because normal synaptic transmission is directional and proceeds from the presynaptic to the postsynaptic cell. For induction to occur postsynaptically and be partially expressed presynaptically, a message must travel from the postsynaptic cell to the presynaptic cell in a retrograde (reverse) direction. Once there, the message presumably initiates a cascade of events that leads to a presynaptic component of expression, such as the increased probability of neurotransmitter vesicle release.
Retrograde signaling is currently a contentious subject as some investigators do not believe the presynaptic cell contributes at all to the expression of LTP. Even among proponents of the hypothesis there is controversy over the identity of the messenger.
Language and Speech
Language depends on semantic memory so some of the same areas in the brain are involved in both memory and language. Articulation, the forming of speech, is represented bilaterally in the motor areas. However, for most individuals, language analysis and speech formation take place in regions of the left hemisphere only. The two major cortical regions involved are:
- Broca's Area
- Wernicke's Area
Broca's area is located just in front of the voice control area of the left motor cortex. This region assembles the motor sequencing of language, speech and writing. For example, patients with lesions in this area:
- Are unable to understand language perfectly: they are typically able to understand nouns better than verbs or syntactical words and fragments
- May not be able to write clearly
- Usually speak in fragmented phrases and sentences, often with effort
Wernicke's area is part of the auditory and visual associations cortex. This region is responsible for the analysis and formation of language content. For example, patients with lesions in this area:
- Have difficulty naming objects
- Have difficulty understand the meaning of words
- Articulate speech readily but often with distorted or unintelligible meaning
Diseases of the Limbic System
There are several well known diseases that are disorders of the limbic system. Several are discussed here.
Schizophrenia
An increased dopamine (DA) response in the limbic system results in schizophrenia. DA may be synthesized or secreted in excess, DA receptors may be supersensitive, and DA regulatory mechanism may be defective. Symptoms are decreased by drugs which block DA receptors. Symptoms of schizophrenia are:
- Loss of touch with reality
- Decreased ability to think and reason
- Decreased ability to concentrate
- Decreased memory
- Regress in child-like behavior
- Altered mood and impulsive behavior
- Auditory hallucinations
Symptoms may be so severe that the individual cannot function.
Depression
Depression is the most common major mental illness and is characterized by both emotional and physical symptoms. Symptoms of depression are:
- Intense sadness and despair
- Anxiety
- Loss of ability to concentrate
- Pessimism
- Feelings of low self esteem
- Insomnia or hypersomnia
- Increased or decreased appetite
- Changes in body temperature and endocrine gland function
10 to 15% of depressed individuals display suicidal behavior during their lifetime.
The cause of depression and its symptoms are a mystery but we do understand that it is an illness associated with biochemical changes in the brain. A lot of research goes on to explain that it is associated with a lack of amines serotonin and norephinephrine. Therefore pharmacological treatment strategies often try to increase amine concentrations in the brain.
One class of antidepressants is monoamine oxidase inhibitors. Mono amine oxidase is an enzyme that breaks down your amines like norephinephrine and serotonin. Because the antidepressants inhibit their degradation they will remain in the synaptic cleft for a longer period of time making the effect just as if you had increased these types of neurotransmitters.
A newer class of antidepressants is selective serotonin reuptake inhibitors (SSRI's). With SSRI's decreasing the uptake of serotonin back into the cell that will increase the amount of serotonin present in the synaptic cleft. SSRI's are more specific than the monoamine oxidase inhibitors because they only affect serotonergic synapses. You might recognize these SSRI's by name as Prozac and Paxil.
Bipolar Disorder
Another common form of depression is manic depression. Mania is an acute state characterized by:
- Excessive elation and impaired judgment
- Insomnia and irritability
- Hyperactivity
- Uncontrolled speech
Manic depression, also known as bipolar disorder, displays mood swings between mania and depression. The limbic system receptors are unregulated. Drugs used are unique mood stabilizers.
The hippocampus is particularly vulnerable to several disease processes, including ischemia, which is any obstruction of blood flow or oxygen deprivation, Alzheimer’s disease, and epilepsy. These diseases selectively attack CA1, which effectively cuts through the hippocampal circuit.
An Autism Link
A connection between autism and the limbic system has also been noted as well. URL: http://www.autism.org/limbic.html
Case Study
Central Pain Syndrome
I was 42 years old when my life changed forever. I had a stroke. As an avid viewer of medical programs on television I assumed that I would have physical therapy for my paralyzed left side and get on with my life. No one ever mentioned pain or the possibility of pain, as a result of the stroke. I did experience unusual sensitivity to touch while still in the hospital, but nothing to prepare me for what was to come.
The part of my brain that is damaged is the Thalamus. This turns out to be the pain center and what I have now is an out of control Thalamus, resulting in Thalamic Pain syndrome, also called Central Pain Syndrome. This means that 24 hours a day, seven days a week, my brain sends messages of pain and it never goes away. I am under the care of physicians, who not only understand chronic pain, but are also willing to treat it with whatever medications offer some help. None of the medications, not even narcotic medications, take the pain away. They just allow me to manage it so I can function.
The Peripheral Nervous System

The peripheral nervous system includes 12 cranial nerves 31 pairs of spinal nerves. It can be subdivided into the somatic and autonomic systems. It is a way of communication from the central nervous system to the rest of the body by nerve impulses that regulate the functions of the human body.
The twelve cranial nerves are
- I Olfactory Nerve for smell
- II Optic Nerve for vision
- III Oculomotor for looking around
- IV Trochlear for moving eye
- V Trigeminal for feeling touch on face
- VI Abducens to move eye muscles
- VII Facial to smile, wink, and help us taste
- VIII Vestibulocochlear to help with balance, equilibrium, and hearing
- IX Glossopharyngeal for swallowing and gagging
- X Vagus for swallowing, talking, and parasympathetic actions of digestion
- XI Spinal accessory for shrugging shoulders
- XII Hypoglossal for tongue more divided into different regions as muscles
10 out of the 12 cranial nerves originate from the brain stem (I and II are in the cerebrum), and mainly control the functions of the anatomic structures of the head with some exceptions. CN X receives visceral sensory information from the thorax and abdomen, and CN XI is responsible for innervating the sternocleidomastoid and trapezius muscles, neither of which is exclusively in the head.
Spinal nerves take their origins from the spinal cord. They control the functions of the rest of the body. In humans, there are 31 pairs of spinal nerves: 8 cervical, 12 thoracic, 5 lumbar, 5 sacral and 1 coccygeal. The naming convention for spinal nerves is to name it after the vertebra immediately above it. Thus the fourth thoracic nerve originates just below the fourth thoracic vertebra. This convention breaks down in the cervical spine. The first spinal nerve originates above the first cervical vertebra and is called C1. This continues down to the last cervical spinal nerve, C8. There are only 7 cervical vertebrae and 8 cervical spinal nerves.
Lateral cord
The lateral cord gives rise to the following nerves:
- The lateral pectoral nerve, C5, C6 and C7 to the pectoralis major muscle, or musculus pectoralis major.
- The musculocutaneous nerve which innervates the biceps muscle
- The median nerve, partly. The other part comes from the medial cord. See below for details.
Posterior cord

The posterior cord gives rise to the following nerves:
- The upper subscapular nerve, C7 and C8, to the subscapularis muscle, or musculus supca of the rotator cuff.
- The lower subscapular nerve, C5 and C6, to the teres major muscle, or the musculus teres major, also of the rotator cuff.
- The thoracodorsal nerve, C6, C7 and C8, to the latissimus dorsi muscle, or musculus latissimus dorsi.
- The axillary nerve, which supplies sensation to the shoulder and motor to the deltoid muscle or musculus deltoideus, and the teres minor muscle, or musculus teres minor.
- The radial nerve, or nervus radialis, which innervates the triceps brachii muscle, the brachioradialis muscle, or musculus brachioradialis,, the extensor muscles of the fingers and wrist (extensor carpi radialis muscle), and the extensor and abductor muscles of the thumb. See radial nerve injuries.
Medial cord
The medial cord gives rise to the following nerves:
- The median pectoral nerve, C8 and T1, to the pectoralis muscle
- The medial brachial cutaneous nerve, T1
- The medial antebrachial cutaneous nerve, C8 and T1
- The median nerve, partly. The other part comes from the lateral cord. C7, C8 and T1 nerve roots. The first branch of the median nerve is to the pronator teres muscle, then the flexor carpi radialis, the palmaris longus and the flexor digitorum superficialis. The median nerve provides sensation to the anterior palm, the anterior thumb, index finger and middle finger. It is the nerve compressed in carpal tunnel syndrome.
- The ulnar nerve originates in nerve roots C7, C8 and T1. It provides sensation to the ring and pinky fingers. It innervates the flexor carpi ulnaris muscle, the flexor digitorum profundus muscle to the ring and pinky fingers, and the intrinsic muscles of the hand (the interosseous muscle, the lumbrical muscles and the flexor pollicus brevis muscle). This nerve traverses a groove on the elbow called the cubital tunnel, also known as the funny bone. Striking the nerve at this point produces an unpleasant sensation in the ring and little fingers.
Other thoracic spinal nerves (T3-T12)
The remainder of the thoracic spinal nerves, T3 through T12, do little recombining. They form the intercostal nerves, so named because they run between the ribs. For points of reference, the 7th intercostal nerve terminates at the lower end of the sternum, also known as the xyphoid process. The 10th intercostal nerve terminates at the umbilicus, or the belly button.
The somatic nervous system is that part of the peripheral nervous system associated with the voluntary control of body movements through the action of skeletal muscles, and also reception of external stimuli. The somatic nervous system consists of afferent fibers that receive information from external sources, and efferent fibers that are responsible for muscle contraction. The somatic system includes the pathways from the skin and skeletal muscles to the Central Nervous System. It is also described as involved with activities that involve consciousness.
The basic route of the efferent somatic nervous system includes a two neuron sequence. The first is the upper motor neuron, whose cell body is located in the precentral gyrus (Brodman Area 4) of the brain. It receives stimuli from this area to control skeletal (voluntary) muscle. The upper motor neuron carries this stimulus down the corticospinal tract and synapses in the ventral horn of the spinal cord with the alpha motor neuron, a lower motor neuron. The upper motor neuron releases acetylcholine from its axon terminal knobs and these are received by nicotinic receptors on the alpha motor neuron. The alpha motor neurons cell body sends the stimulus down its axon via the ventral root of the spinal cord and proceeds to its neuromuscular junction of its skeletal muscle. There, it releases acetylcholine from its axon terminal knobs to the muscles nicotinic receptors, resulting in stimulus to contract the muscle.
The somatic system includes all the neurons connected with the muscles, sense organs and skin. It deals with sensory information and controls the movement of the body.
The Autonomic System
The Autonomic system deals with the visceral organs, like the heart, stomach, gland, and the intestines. It regulates systems that are unconsciously carried out to keep our body alive and well, such as breathing, digestion (peristalsis), and regulation of the heartbeat. The Autonomic system consists of the sympathetic and the parasympathetic divisions. Both divisions work without conscious effort, and they have similar nerve pathways, but the sympathetic and parasympathetic systems generally have opposite effects on target tissues (they are antagonistic). By controlling the relative input from each division, the autonomic system regulates many aspects of homeostasis. One of the main nerves for the parasympathetic autonomic system is Cranial Nerve X, the Vagus nerve.

The Sympathetic and Parasympathetic Systems
The sympathetic nervous system activates what is often termed the fight or flight response, as it is most active under sudden stressful circumstances (such as being attacked). This response is also known as sympathetico-adrenal response of the body, as the pre-ganglionic sympathetic fibers that end in the adrenal medulla (but also all other sympathetic fibers) secrete acetylcholine, which activates the secretion of adrenaline (epinephrine) and to a lesser extent noradrenaline (norepinephrine) from it. Therefore, this response that acts primarily on the cardiovascular system is mediated directly via impulses transmitted through the sympathetic nervous system and indirectly via catecholamines secreted from the adrenal medulla.
Western science typically looks at the SNS as an automatic regulation system, that is, one that operates without the intervention of conscious thought. Some evolutionary theorists suggest that the sympathetic nervous system operated in early organisms to maintain survival (Origins of Consciousness, Robert Ornstein; et al.), as the sympathetic nervous system is responsible for priming the body for action. One example of this priming is in the moments before waking, in which sympathetic outflow spontaneously increases in preparation for action.
The parasympathetic nervous system is part of the autonomic nervous system. Sometimes called the rest and digest system or feed and breed. The parasympathetic system conserves energy as it slows the heart rate, increases intestinal and gland activity, and relaxes sphincter muscles in the gastrointestinal tract.
After high stress situations (ie: fighting for your life) the parasympathetic nervous system has a backlash reaction that balances out the reaction of the sympathetic nervous system. For example, the increase in heart rate that comes along with a sympathetic reaction will result in an abnormally slow heart rate during a parasympathetic reaction.
Organization
Sympathetic nerves originate inside the vertebral column, toward the middle of the spinal cord in the intermediolateral cell column (or lateral horn), beginning at the first thoracic segment of the spinal cord and extending into the second or third lumbar segments. Because its cells begin in the thoracic and lumbar regions of the spinal cord, the SNS is said to have a thoracolumbar outflow. Axons of these nerves leave the spinal cord in the ventral branches (rami) of the spinal nerves, and then separate out as 'white rami' (so called from the shiny white sheaths of myelin around each axon) which connect to two chain ganglia extending alongside the vertebral column on the left and right. These elongated ganglia are also known as paravertebral ganglia or sympathetic trunks. In these hubs, connections (synapses) are made which then distribute the nerves to major organs, glands, and other parts of the body. [1]
In order to reach the target organs and glands, the axons must travel long distances in the body, and, to accomplish this, many axons link up with the axon of a second cell. The ends of the axons do not make direct contact, but rather link across a space, the synapse.
In the SNS and other components of the peripheral nervous system, these synapses are made at sites called ganglia. The cell that sends its fiber is called a preganglionic cell, while the cell whose fiber leaves the ganglion is called a postganglionic cell. As mentioned previously, the preganglionic cells of the SNS are located between the first thoracic segment and the second or third lumbar segments of the spinal cord. Postganglionic cells have their cell bodies in the ganglia and send their axons to target organs or glands.
The ganglia include not just the sympathetic trunks but also the superior cervical ganglion (which sends sympathetic nerve fibers to the head), and the celiac and mesenteric ganglia (which send sympathetic fibers to the gut).
Information transmission
Messages travel through the SNS in a bidirectional flow. Efferent messages can trigger changes in different parts of the body simultaneously. For example, the sympathetic nervous system can accelerate heart rate; widen bronchial passages; decrease motility (movement) of the large intestine; constrict blood vessels; increase peristalsis in the esophagus; cause pupil dilation, piloerection (goose bumps) and perspiration (sweating); and raise blood pressure. Afferent messages carry sensations such as heat, cold, or pain.
The first synapse (in the sympathetic chain) is mediated by nicotinic receptors physiologically activated by acetylcholine, and the target synapse is mediated by adrenergic receptors physiologically activated by either noradrenaline or adrenaline. An exception is with sweat glands which receive sympathetic innervation but have muscarinic acetylcholine receptors which are normally characteristic of PNS. Another exception is with certain deep muscle blood vessels, which have acetylcholine receptors and which dilate (rather than constrict) with an increase in sympathetic tone. The sympathetic system cell bodies are located on the spinal cord excluding the cranial and sacral regions, specifically the thoracolumbar region (T1-L3). The preganglonic neurons exit from the vertebral column and synapse with the postganglonic neurons in the sympathetic trunk.
The parasympathetic nervous system is one of three divisions of the autonomic nervous system. Sometimes called the rest and digest system, the parasympathetic system conserves energy as it slows the heart rate, increases intestinal and gland activity, and relaxes sphincter muscles in the gastrointestinal tract.
Relationship to sympathetic
While an oversimplification, it is said that the parasympathetic system acts in a reciprocal manner to the effects of the sympathetic nervous system; in fact, in some tissues innervated by both systems, the effects are synergistic.
Receptors
The parasympathetic nervous system uses only acetylcholine (ACh) as its neurotransmitter. The ACh acts on two types of receptors, the muscarinic and nicotinic cholinergic receptors. Most transmissions occur in two stages: When stimulated, the preganglionic nerve releases ACh at the ganglion, which acts on nicotinic receptors of the postganglionic nerve. The postganglionic nerve then releases ACh to stimulate the muscarinic receptors of the target organ.
The three main types of muscarinic receptors that are well characterised are:
- The M1 muscarinic receptors are located in the neural system.
- The M2 muscarinic receptors are located in the heart, and act to bring the heart back to normal after the actions of the sympathetic nervous system: slowing down the heart rate, reducing contractile forces of the atrial cardiac muscle, and reducing conduction velocity of the atrioventricular node (AV node). Note, they have no effect on the contractile forces of the ventricular muscle.
- The M3 muscarinic receptors are located at many places in the body, such as the smooth muscles of the blood vessels, as well as the lungs, which means that they cause vasoconstriction and bronchoconstriction. They are also in the smooth muscles of the gastrointestinal tract (GIT), which help in increasing intestinal motility and dilating sphincters. The M3 receptors are also located in many glands that help to stimulate secretion in salivary glands and other glands of the body.
Nervous Tissue
The nervous system coordinates the activity of the muscles, monitors the organs, constructs and also stops input from the senses, and initiates actions. Prominent participants in a nervous system include neurons and nerves, which play roles in such coordination.Our nervous tissue only consists of two types of cells. These cells are neurons and neuroglia cells. The neurons are responsible for transmitting nerve impulses. Neuroglia cells are responsible for supporting and nourishing the neuron cells.
Types of Neurons

There are three types of neurons in the body. We have sensory neurons, interneurons, and motor neurons. Neurons are a major class of cells in the nervous system. Neurons are sometimes called nerve cells, though this term is technically imprecise, as many neurons do not form nerves. In vertebrates, neurons are found in the brain, the spinal cord and in the nerves and ganglia of the peripheral nervous system. Their main role is to process and transmit information. Neurons have excitable membranes, which allow them to generate and propagate electrical impulses. Sensory neuron takes nerve impulses or messages right from the sensory receptor and delivers it to the central nervous system. A sensory receptor is a structure that can find any kind of change in it's surroundings or environment.
Structure of a neuron
Neurons have three different parts to them. They all have an axon, a cell body and dendrites. The axon is the part of the neuron that conducts nerve impulses. Axons can get to be quite long. When an axon is present in nerves, it is called a nerve fiber. A cell body has a nucleus and it also has other organelles. The dendrites are the short pieces that come off of the cell body that receive the signals from sensory receptors and other neurons.
Myelin Sheath
Schwann cells contain a lipid substance called myelin in their plasma membranes. When schwann cells wrap around axons, a myelin sheath forms. There are gaps that have no myelin sheath around them; these gaps are called nodes of Ranvier. Myelin sheathes make excellent insulators. Axons that are longer have a myelin sheath, while shorter axons do not. The disease multiple sclerosis is an autoimmune disease where the body attacks the myelin sheath of the central nervous system.
Case Study
A 35-year-old male in 1986 had been admitted to a hospital in Florida three weeks previous to being diagnosed, with complaints of weakness and spasticity in the right leg, difficulties with balance, and fatigue and malaise. Tests performed at the Florida hospital had revealed abnormalities in spinal fluid and MRI brain scan. The patient complained of being severely depressed and anxious. He had anger at his circumstances and frequent crying spells. One month previously he had noticed aching and loss of vision in the left eye that had since improved.
This man was diagnosed with Multiple Sclerosis (MS). MS is a chronic, degenerative, and progressive disorder that affects the nerve fibers in the brain and spinal cord. Myelin is a fatty substance that surrounds and insulates the nerve fibers and facilitates the conduction of the nerve impulse transmissions. MS is characterized by intermittent damage to myelin (called demyelination) caused by the destruction of specialized cells (oligodendrocytes) that form the substance. Demyelination causes scarring and hardening (sclerosis) of nerve fibers usually in the spinal cord, brain stem, and optic nerves, which slows nerve impulses and results in weakness, numbness, pain, and vision loss. Because different nerves are affected at different times, MS symptoms often worsen (exacerbate), improve, and develop in different areas of the body. Early symptoms of the disorder may include vision changes (blurred vision, blind spots) and muscle weakness. MS can progress steadily or cause acute attacks (exacerbations) followed by partial or complete reduction in symptoms (remission). Most patients with the disease have a normal lifespan.
- There are different types of MS
- Multiple sclerosis is classified according to frequency and severity of neurological symptoms, the ability of the CNS to recover, and the accumulation of damage.

Treating Depression
Every now and then we all feel a little blue, these feelings can be caused by losing a loved one. Clinical depression goes much further than just feeling down. Depression has many symptoms, including lack of energy, abnormal eating habits (either too much or too little) and sleeping problems (also too much or too little). Often a person can feel worthless and have thoughts of committing suicide. The cause of depression and its symptoms are a mystery but we do understand that it is an illness associated with biochemical changes in the brain. A lot of research goes on to explain that it is associated with a lack of amines serotonin and norephinephrine. Therefore pharmacological treatment strategies often try to increase amine concentrations in the brain.
One class of antidepressants is monoamine oxidase inhibitors. Mono amine oxidase is a enzyme that breaks down your amines like norephinephrine and serotonin. Because the antidepressants inhibit their degradation they will remain in the synaptic cleft for a longer period of time making the effect just as if you had increased theses types of neurotransmitters.
A newer class of antidepressants is selective serotonin reuptake inhibitors (SSRI's). With SSRI's decreasing the uptake of serotonin back into the cell that will increase the amount of serotonin present in the synaptic cleft. SSRI's are more specific than the monoamine oxidase inhibitors because they only affect serotonergic synapses. You might recognize these SSRI's by name as Prozac and Paxil.
Drugs
A drug is, generally speaking, any substance that changes the way your body works. Some drugs have a medicinal effect, and some are used recreationally. They have diverse effects, depending on the drug. Drugs can do anything from diminish pain, to preventing blood clots, to helping a depressed person.
Different drugs work in different ways, called the mechanism of action, the drugs covered here will all act on the nervous system via receptors on different neurons. There are also drugs that change how enzymes work, but that's not part of the nervous system (at least directly) and will not be discussed here.
You've probably heard the terms stimulant (excitatory) and depressant (inhibitory). This is a broad way of classifying drugs that work on the CNS. Depressants slow down neural function, and stimulants speed it up.
Most of the common depressants (including alcohol, benzodiazepines, barbiturates and GHB) work on GABA receptors, although there are others. Opiates, for example, work on mu opioid receptors and also produce inhibitory effects, and some antipsychotics block serotonin. See the alcohol section below to see one way this can work.
Stimulants work mostly with epinephrine, dopamine or serotonin (or a combination of them). Many of them either mimic one, or stop them from leaving the synapse, causing more action potentials to be fired. Methamphetamine, discussed below, is a fairly typical stimulant drug.
Drug Abuse
.jpg.webp)
Scientists have long accepted that there is a biological basis for drug addiction, though the exact mechanisms responsible are only now being identified. It is believed that addictive substances create dependence in the user by changing the brain's reward functions, located in the mesolimbic dopamine system—the part of the brain that reinforces certain behaviors such as eating, sexual intercourse, exercise, and social interaction. Addictive substances, through various means and to different degrees, cause the synapses of this system to flood with excessive amounts of dopamine, creating a brief rush of euphoria more commonly called a "high”. Some say that abuse begins when the user begins shirking responsibility in order to afford drugs or to have enough time to use them. Some say it begins when a person uses "excessive" amounts, while others draw the line at the point of legality, and others believe it amounts to chronic use despite degenerating mental and physical health in the user. Some think that any intoxicant consumption is an inappropriate activity. Here are some drugs that are abused frequently: Acid/LSD, Alcohol, various tryptamines and phenethylamines, Cocaine, Ecstasy/MDMA, Heroin, Inhalants, Marijuana, Methamphetamine, PCP/Phencyclidine, Prescription Medications, Smoking/Nicotine and Steroids.
Alcohol
Alcohol is, and has been for thousands of years, one of the most commonly used drugs in the world. It is legal, with some restrictions and exceptions, nearly everywhere. It is a common misconception that somehow alcohol is 'better' or 'safer' than other recreational drugs. This is simply NOT the case. Alcohol is a depressant, and as such it has the potential to cause coma, respiratory depression/arrest and possibly death. Compared with some other (illegal in most places) drugs of recreational value (such as marijuana, serotonin based hallucinogens like LSD or psilocybin) alcohol is far more toxic and has more risk of overdose. That doesn't mean that moderate drinking will probably hurt you, though, either.
Short term effects from drinking (listed roughly as they appear, and as dosage goes up) are: decreased inhibitions and, thus, judgment, flushing of the face, drowsiness, memory problems, severe motor impairment, blurry vision, dizziness, confusion, nausea, possible unconsciousness, coma, and death (due to respiratory arrest or possibly aspiration on vomit).
Alcohol produces these effects mainly via the GABA receptors in the brain. When GABA (or in this case alcohol) binds to it's receptor, it lets either Cl- ions in, or K+ out. This is called hyperpolarization, or an inhibitory postsynaptic potential (IPSP). It makes it harder for the neuron to depolarize and hence harder for it to fire an action potential, slowing neural function. At higher doses alcohol will start to block NMDA. NMDA is involved in memory (see the long-term potentiation section) so this is thought to account for memory blackouts.
Methamphetamine
In the US, medically prescribed methamphetamine is distributed in tablet form under the brand name Desoxyn®, generally for Attention Deficit Hyperactivity Disorder (ADHD) but also for narcolepsy or obesity.
Illicit methamphetamine comes in a variety of forms. Most commonly it is found as a colorless crystalline solid, sold on the street under a variety of names, such as: crystal meth or crystal. Methamphetamine may also be referred to as shards, rock, pony, crissie, crystal, glass, ice, Jib, critter, Tina, tweak or crank. Dope may refer to methamphetamine or other drugs, especially heroin or marijuana. The term "speed" can denote any stimulant including other amphetamines (e.g. adderall), cocaine and methylphenidate (Ritalin).
Methamphetamine can be injected (either subcutaneous, intramuscular or intravenous), smoked, snorted, swallowed, or used rectally or sublingually. The latter two being fairly uncommon. After administration, methamphetamine takes from a few seconds (smoked or injected IV) to around 30 minutes (oral) for effects to arise, lasting around eight hours depending on the route of administration. Effects/side effects include euphoria, anorexia, increased energy, clenching of the jaw/grinding of teeth (bruxism), weight loss, insomnia, tooth decay and psychosis among others.
Methamphetamine is neurotoxic to at least some areas of the brain, and owes most of its effects to the neurotransmitters dopamine, norepinephrine and serotonin it releases. It also blocks the reuptake of those neurotransmitters, causing them to stay in the synaptic cleft longer than normal.
Marijuana

Marijuana contains a myriad of chemicals, called cannabinoids, that have psychoactive and medicinal effects when consumed, the major one being tetrahydrocannabinol (THC). THC serves to mimic the endogenous neurotransmitter anandamide (also found in chocolate) at the CB1 receptors in the brain. Other cannabinoids include Cannabidiol (CBD), cannabinol (CBN) and tetrahydrocannabivarin (THCV). Although THC is found in all parts of the plant, the flower of the female plant has the highest concentration, commonly around eight percent. The flowers can be used, or they can be refined. Trichomes contain most of the THC on the flowers and can be removed by a few different methods. These removed trichomes are called kief. Kief can, in turn, be pressed into hashish. By far the most common way to consume any of these products is by smoking, but it can be taken orally as well.
Cannabis has a very long, very good safety record. Nobody on record has ever died because of marijuana, directly at least. It is estimated that it would take 1-1.8 kilograms of average potency marijuana, taken orally, to have a fifty percent chance of killing a 68kg human. Despite this, the possession, use, or sale of psychoactive cannabis products became illegal in many parts of the world in the early 20th century. Since then, while some countries have intensified the enforcement of cannabis prohibition, others have reduced the priority of enforcement to the point of de facto legality. Cannabis remains illegal in the vast majority of the world's countries.
The nature and intensity of the immediate effects of cannabis consumption vary according to the dose, the species or hybridization of the source plant, the method of consumption, the user's mental and physical characteristics (such as possible tolerance), and the environment of consumption. This is sometimes referred to as set and setting. Smoking the same cannabis either in a different frame of mind (set) or in a different location (setting) can alter the effects or perception of the effects by the individual. Effects of cannabis consumption may be loosely classified as cognitive and physical. Anecdotal evidence suggests that the Cannabis sativa species tends to produce more of the cognitive or perceptual effects, while Cannabis indica tends to produce more of the physical effects.
Review Questions
- Answers for these questions can be found here
1. The junction between one neuron and the next, or between a neuron and an effector is called:
- A ) A synapse
- B ) A dendrite
- C ) A neuotransmitter
- D ) A ventricle
- E ) None of the above
2. A fast excitatory synapses follows this order:
- A ) (1) neurotransmitter released (2) diffused across the synaptic cleft to a receptor protein (3) binding of the transmitter opens pores in the ion channels and positive ions move in.
- B ) (1) neurotransmitter released (2) diffused across the synaptic cleft to a receptor protein (3) binding of the transmitter opens pores in the ion channels and negative ions move in.
- C ) (1) neurotransmitter released (2) diffused across the synaptic cleft to a receptor amino acid (3) binding of the transmitter opens pores in the ion channels and positive ions move in.
- D ) (1) diffused across the synaptic cleft to a receptor protein (2) neurotransmitter released (3) binding of the transmitter opens pores in the ion channels and positive ions move in.
- E ) None of the above
3. Resting potential is
- A ) excess positive ions accumulate inside the plasma membrane
- B ) excess negative ions accumulate inside the plasma membrane
- C ) excess positive ions accumulate outside the plasma membrane
- D ) both b & c
- E ) both a & c
4. Sensory neurons have:
- A ) A short dendrite and a long axon
- B ) A short dendrite and a short axon
- C ) A long dendrite and a short axon
- D ) A long dendrite and a long axon
- E ) Their axons and dendrites may be either long or short
5. ________blocks Acetylcholine receptor sites causing muscle relaxation.
- A ) Novocain
- B ) curare
- C ) Nicotine
- D ) Nerve gases
6. Transmission across a synapse is dependent on the release of _______?
- A ) neurotransmitters
- B ) synaptic vesicle
- C ) neuromuscular tisssue
- D ) receptor proteins
7. Motor neurons take messages
- A ) from the muscle fiber to the central nervous system
- B ) away from the central nervous system to the central nervous system
- C ) that are classified
- D ) away from the central nervous system to muscle fiber
8. The medulla oblongata helps to regulate which of the following:
- A ) Breathing
- B ) Heartbeat
- C ) Sneezing
- D ) Vomiting
- E ) All of the above
9. The nervous systems main components are what?
- A) The Synapses and Sprinal cord
- B) The neurons and the synapses
- C) The bain and the neurons
- D)The brain and the spinal cord
10. Explain what LTP does to enhance communication between two neurons, on the postsynaptic end.
11. Explain what LTP does to enhance communication between two neurons, on the presynaptic end.
Glossary
Afferent Messages: carry sensations such as heat, cold, or pain
Autonomic System: deals with the visceral organs, like the heart, stomach, gland, and the intestines
Axon: the part of the neuron that conducts nerve impulses
Cannabis: a psychoactive drug produced from parts of the cannabis plant
Central Nervous System (CNS): the system that includes the brain and the spinal cord
Cerebellum: part of the brain that is located posterior to the medulla oblongata and pons, coordinates skeletal muscles to produce smooth, graceful motions
Cerebrospinal Fluid (CSF): acts a shock absorber for the central nervous system, protecting the brain and spinal cord from injury; it also has a high glucose content which serves as a nutritional factor
Cerebrum motor control, learning, speech, somatic sensory functions, vision,hearing and more.
Dendrites: short pieces that come off of the cell body that receive the signals from sensory receptors and other neurons
Episodic Memory: represents our memory of events and experiences in a serial form
Excitatory Neurotransmitter: a neurotransmitter that acts to elicit an action potential by opening sodium ion channels
Longitudinal Sulcus: separates the cerebrum in to the right and left hemispheres
Long Term Memory: used for storage of information over a long time
Long-Term Potentiation (LTP) long term communication enhancement between two neurons. Results in neural pathways that store memoris.
Medulla control center for respiratory, cardiovascular and digestive functions.
Myelin: a fatty substance that surrounds and insulates the nerve fibers and facilitates the conduction of the nerve impulse transmissions
Multiple Sclerosis (MS): disease that affects the CNS by causing hardening and scaring of the myelin
Nodes of Ranvier: unmyelinated gaps between sections of myelin
Peripheral Nervous System (PNS): a way of communication from the central nervous system to the rest of the body by nerve impulses that regulate the functions of the human body
Pons control centers for respiration and inhibitory functions.
Postganglionic Cells: have their cell bodies in the ganglia and send their axons to target organs or glands
Postsynaptic Cells the cell on the receiving (second) end of the synapse.
Presynaptic Cell The cell on the sending (first) end of the synapse.
Proprioception the sense that indicates whether the body is moving with required effort, as well as where various parts of the body are located in relation to each other.
Sensory Receptor: structure that can find any kind of change in it's surroundings or environment
Somatic Nervous System (SNS): the part of the peripheral nervous system associated with the voluntary control of body movements through the action of skeletal muscles, and also reception of external stimuli
Synapses: the gap between two neurons; new synapses lead to learning
References
http://action.painfoundation.org/site/News2?page=NewsArticle&id=5135&security=1&news_iv_ctrl=1061 Esther Wednesday, October 19, 2005