| Acrospiroma | |
|---|---|
| Other names | Hidradenoma |
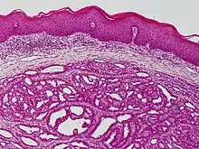
![]() | |
| Tubular hidradenoma, apocrine | |
| Specialty | Dermatology |
Acrospiromas are a broad class of benign cutaneous adnexal tumors.[1] Cutaneous adnexal tumors are a group of skin tumors consisting of tissues that have differentiated (i.e. matured from stem cells) towards one or more of the four primary adnexal structures found in normal skin: hair follicles, sebaceous sweat glands, apocrine sweat glands, and eccrine sweat glands.[2] Acrospiromas are thought to derive from apocrine or eccrine sweat gland ducts near their acrosyringium, i.e. point where these ducts open to the skin's surface.[1][3][4]
The acrosporma group of tumors consists of: 1) the hidradenomas, including their eccrine acrospiroma, clear cell hidradenoma (also termed clear cell acrospiroma), nodular hidradenoma (also termed nodular acrospiroma, clear cell myoepithelioma, and eccrine sweat gland adenoma of the clear cell type[3]), and solid-cystic hidradenoma variants;[5] 2) the myoepitheliomas;[3] and 3) the poromas, particularly their dermal duct tumor (also termed dermal duct poroma) and hidroacanthoma simplex variants.[1][4] However, the literature on the acrospiromas is confusing and often terms their variants with different and interchangeable names.[3][6]
Acrospiromas, while by definition benign skin tumors, may recur at the sites of their surgical removal and, uncommonly, progress to malignant tumors such as the malignant hidradenomas, i.e. hidradenocarcinomas,[3] malignant myoepitheliomas,[7] and malignant poromas, i.e. porocarcinomas.[1][4] Further information on the acrospiromas, malignant acrospiromas, and their variants are in the linkages to them in this article.
Additional images

See also
References
- 1 2 3 4 Miller AC, Adjei S, Temiz LA, Gill P, Siller A, Tyring SK (January 2022). "Dermal Duct Tumor: A Diagnostic Dilemma". Dermatopathology. 9 (1): 36–47. doi:10.3390/dermatopathology9010007. PMC 8883970. PMID 35225875.
- ↑ Zaballos P, Gómez-Martín I, Martin JM, Bañuls J (October 2018). "Dermoscopy of Adnexal Tumors". Dermatologic Clinics. 36 (4): 397–412. doi:10.1016/j.det.2018.05.007. PMID 30201149. S2CID 52185272.
- 1 2 3 4 5 Bijou W, Laababsi R, Oukessou Y, Rouadi S, Abada R, Roubal M, Mahtar M (January 2021). "An unusual presentation of a nodular hidradenoma: A case report and review of the literature". Annals of Medicine and Surgery (2012). 61: 61–63. doi:10.1016/j.amsu.2020.11.050. PMC 7772521. PMID 33384876.
- 1 2 3 Sawaya JL, Khachemoune A (September 2014). "Poroma: a review of eccrine, apocrine, and malignant forms". International Journal of Dermatology. 53 (9): 1053–61. doi:10.1111/ijd.12448. PMID 24697501.
- ↑ Al-Adawi SS, Al-Qasabi B, Al-Bahri M, Aljarrah A, Al-Aghbari S (August 2020). "Clear Cell Hidradenoma of the Breast Diagnosed on a Core Needle Biopsy: A case report and review of the literature". Sultan Qaboos University Medical Journal. 20 (3): e357–e361. doi:10.18295/squmj.2020.20.03.017. PMC 7574794. PMID 33110653.
- ↑ Helwig EB (October 1984). "Eccrine acrospiroma". Journal of Cutaneous Pathology. 11 (5): 415–20. doi:10.1111/j.1600-0560.1984.tb00398.x. PMID 6096424. S2CID 221605975.
- ↑ Macagno N, Sohier P, Kervarrec T, Pissaloux D, Jullie ML, Cribier B, Battistella M (January 2022). "Recent Advances on Immunohistochemistry and Molecular Biology for the Diagnosis of Adnexal Sweat Gland Tumors". Cancers. 14 (3): 476. doi:10.3390/cancers14030476. PMC 8833812. PMID 35158743.
External links
Media related to Acrospiroma at Wikimedia Commons
