| Air crescent sign | |
|---|---|
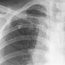
![]() | |
| The arrows denote an ill-defined nodular opacity in medial aspect of right upper lobe with ill-defined rim of lucency surrounding it | |
| Differential diagnosis | Aspergilloma |
In radiology, the air crescent sign is a finding on chest radiograph and computed tomography that is crescenteric and radiolucent, due to a lung cavity that is filled with air and has a round radiopaque mass.[1] Classically, it is due to an aspergilloma, a form of aspergillosis, that occurs when the fungus Aspergillus grows in a cavity in the lung.[2] It is also referred as Monad sign.[3]
Additional images

Sagittal reformat from a CT scan of the chest showing air crescent sign in a patient with invasive fungal infection. There is a rounded cavity in the apical right upper lobe, with a non-dependant soft-tissue nodule within it. Also there is some subtle ground-glass opacity surrounding the lesion.
References
- ↑ Abramson S (January 2001). "The air crescent sign". Radiology. 218 (1): 230–2. doi:10.1148/radiology.218.1.r01ja19230. PMID 11152807.
- ↑ Curtis AM, Smith GJ, Ravin CE (October 1979). "Air crescent sign of invasive aspergillosis". Radiology. 133 (1): 17–21. doi:10.1148/133.1.17. PMID 472287.
- ↑ Goel, Ayush. "Pulmonary aspergillosis". Mediconotebook. Retrieved 29 May 2015.
External links
This article is issued from Wikipedia. The text is licensed under Creative Commons - Attribution - Sharealike. Additional terms may apply for the media files.
