| Brainstem glioma | |
|---|---|
|  | |
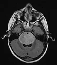
| Brain stem glioma. MRI axial, with contrast | |
| Specialty | Oncology | 

_-_Fonc-02-00205-g003_D_(cropped).jpg.webp)
A brainstem glioma is a cancerous glioma tumor in the brainstem. Around 75% are diagnosed in children and young adults under the age of twenty, but have been known to affect older adults as well.[1] Brainstem gliomas start in the brain or spinal cord tissue and typically spread throughout the nervous system.[2]
Signs and symptoms
Common symptoms include, but are not necessarily limited to:
- Lack of facial control (droopy eyelids)
- Double vision
- Headache or headache that gets better after vomiting
- Nausea and vomiting
- Weakness and fatigue
- Seizures
- Balance problems
- Numbness in face
Symptoms can develop slowly and subtly and may go unnoticed for months. In other cases, the symptoms may arise abruptly. A sudden onset of symptoms tends to occur with more rapidly growing, high-grade tumors.
Cause
The cause is still unknown. Researchers have not found any direct genetic link.
Diagnosis
Neuroimaging, such as MRI, is the main diagnostic tool for brain stem gliomas. In very rare cases, surgery and biopsy are performed.
Treatment
Unlike most brain tumors, brainstem glioma is not often treated with neurosurgery due to complications in vital parts of the brain. More often, it is treated with chemotherapy and/or radiation therapy (though past use of radiation therapy has yielded mixed results).[3]
However, these treatments do produce side effects; most often including nausea, the breakdown of the immune system, and fatigue. Hair loss can occur from both chemotherapy and radiation, but usually grows back after chemotherapy has ceased. Steroids such as Decadron may be required to treat swelling in the brain. Decadron can lead to weight gain and infection. Patients may also experience seizures, which need to be treated to avoid complications. For some patients there is a chance of a neurological breakdown; this can include, but is not limited to, confusion and memory loss.[4]
The use of topotecan has been investigated.[5]
There are several new clinical trials in process. One such trial is dendritic cell immunotherapy which uses the patient's tumor cells and white blood cells to produce a chemotherapy that directly attacks the tumor.
Prognosis
Brainstem glioma is an aggressive and dangerous cancer. Without treatment, the life expectancy is typically a few months from the time of diagnosis. With appropriate treatment, 37% survive more than one year, 20% survive 2 years. and 13% survive 3 years. This is not for all brainstem glioma, this statistic reflects DIPG. There are other brainstem gliomas.[6]
Research
Tumour tissue analysis
- Memorial Sloan Kettering Cancer Center: Our hypothesis is that unravelling the genomic alterations of diffuse infiltrating pontine gliomas or DIPGs will lead to improved understanding of the biology of such tumours and improved therapeutic options.[7]
- National Institutes of Health: DNA Analysis of Tumor Tissue Samples using Paraffin-Embedded Blocks from Patients with Diffuse Pontine Glioma
- St. Jude Children's Research Hospital:Our goal is to perform an extensive genetic analysis of tumor samples obtained from patients with DIPG.[8]
- St. Jude Children's Research Hospital:Gene sequencing project discovers mutations tied to deadly brain tumors in young children[9][10]
- UCLA's Jonsson Comprehensive Cancer Center:New system uses nanodiamonds to deliver chemotherapy drugs directly to brain tumors[11]
- UT Southwestern Medical Center:Researchers identify a switch that controls growth of most aggressive brain tumor cells[12]
- The Institute of Cancer Research, London:Genetic flaw may hold key to deadly childhood brain tumour[13][14]
- Patrick Couvreur, Professor and Director of the Physical Chemistry, Pharmacotechnology and Biopharmacy Unit at Paris-Sud University in France:Fighting cancer with nanotechnology[15]
- VU University Medical Center - Amsterdam (the Netherlands): implementation of a multi-institutional diffuse pontine glioma autopsy protocol[16]
Imaging research
See also
Footnotes
- ↑ Landolfi, Joseph (30 June 2009). "Brainstem Gliomas". eMedicine. Retrieved 15 August 2010.
- ↑ Salmaggi A, Fariselli L, Milanesi I, et al. (February 2008). "Natural history and management of brainstem gliomas in adults. A retrospective Italian study". J. Neurol. 255 (2): 171–7. doi:10.1007/s00415-008-0589-0. PMID 18293027. S2CID 22436880.
- ↑ Broniscer A, Laningham FH, Kocak M, et al. (March 2006). "Intratumoral hemorrhage among children with newly diagnosed, diffuse brainstem glioma". Cancer. 106 (6): 1364–71. doi:10.1002/cncr.21749. PMID 16463390. S2CID 23959929.
- ↑ "Decadron Phosphate 2392-39-4", Sax's Dangerous Properties of Industrial Materials, Hoboken, NJ, USA: John Wiley & Sons, Inc., 2012-10-15, doi:10.1002/0471701343.sdp33110
- ↑ Sanghavi SN, Needle MN, Krailo MD, Geyer JR, Ater J, Mehta MP (January 2003). "A phase I study of topotecan as a radiosensitizer for brainstem glioma of childhood: first report of the Children's Cancer Group-0952". Neuro-Oncology. 5 (1): 8–13. doi:10.1215/15228517-5-1-8. PMC 1920667. PMID 12626128. Archived from the original on 2009-04-17.
- ↑ "DIPG (Diffuse Intrinsic Pontine Glioma) Facts". thecurestartsnow.org. Archived from the original on 2013-05-14. Retrieved 2013-05-26.
- ↑ "Milestone Clinical Trial for DIPG Approved". Weill Cornell Brain and Spine Center.
- ↑ "Error". cancer.gov.
- ↑ "Gene sequencing project discovers mutations tied to deadly brain tumors in young children". medicalxpress.com.
- ↑ "Hair Loss Caused by Stress and Trauma". surethik.com. Archived from the original on 2017-07-04. Retrieved 2015-11-22.
- ↑ "New system uses nanodiamonds to deliver chemotherapy drugs directly to brain tumors". phys.org.
- ↑ "Researchers identify a switch that controls growth of most aggressive brain tumor cells". phys.org.
- ↑ "Genetic flaw may hold key to deadly childhood brain tumour". medicalxpress.com.
- ↑ ""Uni Strand" Strip method". surehair.com. Archived from the original on 2015-11-23.
- ↑ European Patent Office. "EPO - Fighting cancer with nanotechnology". epo.org.
- ↑ just host. "Welcome justonemoreday.org - Justhost.com". justonemoreday.org.
References
- Foer, Dana R, and Paul G. Fisher. "Brain Stem Gliomas in Childhood." Brain Tumor Types and Imaging. The Childhood Brain Tumor Foundation. 23 Oct. 2008.
- "Brain Stem Gliomas." Brain Tumor Society. 25 Oct. 2008.
- "Brain Stem Glioma." Tumor Types. National Brain Tumor Foundation. 25 Oct. 2008.
- Landolfi, Joseph, and Anita Venkataramana. "Brainstem Gliomas : Article by Joseph Landolfi." eMedicine (Aug. 29 2006): 24 Oct. 2008.
- Phuphanich, Surasak. "Immunotherapy for Patients With Brain Stem Glioma and Glioblastoma." 1 Dec. 2007. ClinicalTrials.gov. 23 Oct. 2008.
External links