| Cholesterolosis of gallbladder | |
|---|---|
![]() | |
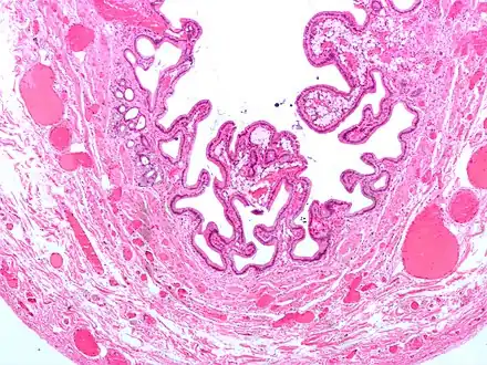
| Micrograph of cholesterolosis of the gallbladder, with an annotated foam cell. H&E stain. | |
| Specialty | Gastroenterology |
In surgical pathology, strawberry gallbladder, more formally cholesterolosis of the gallbladder and gallbladder cholesterolosis, is a change in the gallbladder wall due to excess cholesterol.[1]
The name strawberry gallbladder comes from the typically stippled appearance of the mucosal surface on gross examination, which resembles a strawberry. Cholesterolosis results from abnormal deposits of cholesterol esters in macrophages within the lamina propria (foam cells) and in mucosal epithelium. The gallbladder may be affected in a patchy localized form or in a diffuse form. The diffuse form macroscopically appears as a bright red mucosa with yellow mottling (due to lipid), hence the term strawberry gallbladder. It is not tied to cholelithiasis (gallstones) or cholecystitis (inflammation of the gallbladder).[2]
Additional images
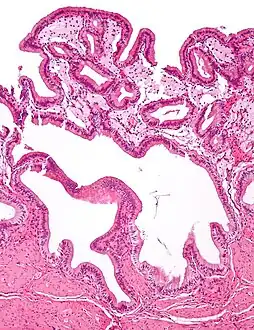
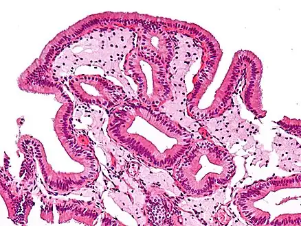
Micrograph of cholesterolosis of the gallbladder
Micrograph of cholesterolosis of the gallbladder
Micrograph of cholesterolosis of the gallbladder
See also
References
- ↑ Strawberry gallbladder - cancerweb.ncl.ac.uk.
- ↑ "Cholesterolosis of the Gall Bladder".
