G cell
Control of stomach acid
Details
SystemDigestive system
LocationStomach and duodenum
FunctionGastrin secretion
Identifiers
Latinendocrinocytus G
THH3.04.02.0.00031
FMA67609
Anatomical terms of microanatomy

In anatomy, the G cell or gastrin cell is a type of cell in the stomach and duodenum that secretes gastrin. It works in conjunction with gastric chief cells and parietal cells. G cells are found deep within the pyloric glands of the stomach antrum, and occasionally in the pancreas[1] and duodenum. The vagus nerve innervates the G cells. Gastrin-releasing peptide is released by the post-ganglionic fibers of the vagus nerve onto G cells during parasympathetic stimulation. The peptide hormone bombesin also stimulates gastrin from G cells. Gastrin-releasing peptide, as well as the presence of amino acids in the stomach, stimulates the release of gastrin from the G cells. Gastrin stimulates enterochromaffin-like cells to secrete histamine.[2] Gastrin also targets parietal cells by increasing the amount of histamine and the direct stimulation by gastrin, causing the parietal cells to increase HCl secretion in the stomach. G-cells frequently express PD-L1 during homeostasis which protects them from Helicobacter pylori-induced immune destruction [3]

Structure

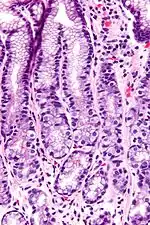
Micrograph of the gastric antrum showing abundant fried egg-like G cells. H&E stain.

G cells have a distinctive microscopic appearance that allows one to separate them from other cells in the gastric antrum; their nuclei are centrally located in the cell. They are found in the middle portion of the gastric glands.

See also

References

  1. "G cell", Medcyclopaedia, GE
  2. Guyton, Arthur C.; John E. Hall (2006). Textbook of Medical Physiology (11 ed.). Philadelphia: Elsevier Saunders. p. 797. ISBN 0-7216-0240-1.
  3. Mommersteeg MC, Yu BT, van den Bosch TP, von der Thüsen JH, Kuipers EJ, Doukas M, Spaander MC, Peppelenbosch MP, Fuhler GM (October 2022). "Constitutive programmed death ligand 1 expression protects gastric G-cells from Helicobacter pylori-induced inflammation". Helicobacter. 27 (5): e12917. doi:10.1111/hel.12917. PMC 9542424. PMID 35899973.
This article is issued from Wikipedia. The text is licensed under Creative Commons - Attribution - Sharealike. Additional terms may apply for the media files.