Pembrolizumab
From PDB entry 5dk3
Monoclonal antibody
TypeWhole antibody
SourceHumanized (from mouse)
TargetPD-1
Clinical data
Trade namesKeytruda
Other namesMK-3475, lambrolizumab
AHFS/Drugs.comMonograph
MedlinePlusa614048
License data
Pregnancy
category
  • AU: D[1]
  • not for pregnant women
Routes of
administration
Intravenous
Drug classAntineoplastic agents
ATC code
Legal status
Legal status
Identifiers
CAS Number
DrugBank
ChemSpider
  • none
UNII
KEGG
ChEMBL
ECHA InfoCard100.234.370
Chemical and physical data
FormulaC6534H10004N1716O2036S46
Molar mass146648.64 g·mol−1

Pembrolizumab, sold under the brand name Keytruda, is a humanized antibody used in cancer immunotherapy that treats melanoma, lung cancer, head and neck cancer, Hodgkin lymphoma, stomach cancer, cervical cancer, and certain types of breast cancer.[7][9][10][11] It is administered by slow intravenous injection.[10]

Common side effects include fatigue, musculoskeletal pain, decreased appetite, itchy skin (pruritus), diarrhea, nausea, rash, fever (pyrexia), cough, difficulty breathing (dyspnea), constipation, pain, and abdominal pain.[12][10] It is an IgG4 isotype antibody that blocks a protective mechanism of cancer cells and thereby, allows the immune system to destroy them. It targets the programmed cell death protein 1 (PD-1) receptor of lymphocytes.[12]

Pembrolizumab was approved for medical use in the United States in 2014.[10] It is on the World Health Organization's List of Essential Medicines.[13]

Medical uses

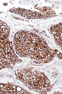
Micrograph showing a PD-L1 positive non-small cell lung carcinoma. PD-L1 immunostain

As of 2019, pembrolizumab is used via intravenous infusion to treat inoperable or metastatic melanoma, metastatic non-small cell lung cancer (NSCLC) in certain situations, as a first-line treatment for metastatic bladder cancer in patients who cannot receive cisplatin-based chemotherapy and have high levels of PD-L1, as a second-line treatment for head and neck squamous cell carcinoma (HNSCC), after platinum-based chemotherapy, for the treatment of adult and pediatric patients with refractory classic Hodgkin's lymphoma (cHL), and recurrent locally advanced or metastatic esophageal squamous cell carcinoma.[7][14][15][16][17][18][19][20]

For NSCLC, pembrolizumab is used in combination with chemotherapy (for all PD-L1, a PD-1 receptor ligand, levels) or by itself as a first-line treatment if the cancer expresses (≥ 1%) PD-L1 and the cancer has no mutations in EGFR or in ALK; if chemotherapy has already been administered, then pembrolizumab can be used as a second-line treatment, but if the cancer has EGFR or ALK mutations, agents targeting those mutations should be used first.[7][21] Assessment of PD-L1 expression must be conducted with a validated and approved companion diagnostic.[7][18]

Pembrolizumab (Pembro) use for treatment of Lung cancer in the first line with or without chemotherapy (Chemo). Median overall survival in months (M). Hazard Ratio (HR).[22]

In 2017, the US Food and Drug Administration (FDA) approved pembrolizumab for any unresectable or metastatic solid tumor with certain genetic anomalies (mismatch repair deficiency or microsatellite instability).[18][23] This was the first time the FDA approved a cancer drug based on tumor genetics rather than tissue type or tumor site; therefore, pembrolizumab is a so-called tissue-agnostic drug.[24]

In the European Union, pembrolizumab is indicated for:

  • the treatment of advanced (unresectable or metastatic) melanoma in adults as monotherapy.[8]
  • the adjuvant treatment of adults with Stage III melanoma and lymph node involvement who have undergone complete resection as monotherapy.[8]
  • the first-line treatment of metastatic non-small cell lung carcinoma (NSCLC) in adults whose tumors express PD-L1 with a ≥ 50% tumor proportion score (TPS) with no EGFR or ALK positive tumor mutations as monotherapy.[8]
  • the first-line treatment of metastatic non-squamous NSCLC in adults whose tumors have no EGFR or ALK positive mutations in combination with pemetrexed and platinum chemotherapy.[8]
  • the first-line treatment of metastatic squamous NSCLC in adults in combination with carboplatin and either paclitaxel or nab-paclitaxel.[8]
  • the treatment of locally advanced or metastatic NSCLC in adults whose tumors express PD-L1 with a ≥ 1% TPS and who have received at least one prior chemotherapy regimen. People with EGFR or ALK positive tumor mutations should also have received targeted therapy before receiving Keytruda as monotherapy.[8]
  • the treatment of adults with relapsed or refractory classical Hodgkin lymphoma (cHL) who have failed autologous stem cell transplant (ASCT) and brentuximab vedotin (BV), or who are transplant-ineligible and have failed BV as monotherapy.[8]
  • the treatment of locally advanced or metastatic urothelial carcinoma in adults who have received prior platinum-containing chemotherapy as monotherapy.[8]
  • the treatment of locally advanced or metastatic urothelial carcinoma in adults who are not eligible for cisplatin-containing chemotherapy and whose tumors express PD L1 with a combined positive score (CPS) ≥ 10 as monotherapy.[8]
  • the first-line treatment of metastatic or unresectable recurrent head and neck squamous cell carcinoma (HNSCC) in adults whose tumors express PD-L1 with a CPS ≥ 1 as monotherapy or in combination with platinum and 5-fluorouracil (5-FU) chemotherapy.[8]
  • the treatment of recurrent or metastatic HNSCC in adults whose tumors express PD-L1 with a ≥ 50% TPS and progressing on or after platinum-containing chemotherapy as monotherapy.[8]
  • the first-line treatment of advanced renal cell carcinoma (RCC) in adults in combination with axitinib.[8]

In June 2020, the US FDA approved a new indication for pembrolizumab as the first-line treatment for people with unresectable or metastatic microsatellite instability-high (MSI‑H) or mismatch repair deficient (dMMR) colorectal cancer.[12] The approval marks the first immunotherapy approved for that population in the US as a first-line treatment and which is administered to people without also giving chemotherapy.[12]

In March 2021, the US FDA approved pembrolizumab in combination with platinum and fluoropyrimidine-based chemotherapy to treat metastatic or locally advanced esophageal or gastroesophageal (GEJ) (tumors with epicenter 1 to 5 centimeters above the gastroesophageal junction) carcinoma in people who are not candidates for surgical resection or definitive chemoradiation.[25] Efficacy was evaluated in KEYNOTE-590 (NCT03189719), a multicenter, randomized, placebo-controlled trial that enrolled 749 participants with metastatic or locally advanced esophageal or gastroesophageal junction carcinoma who were not candidates for surgical resection or definitive chemoradiation.[25]

In May 2021, the US FDA approved pembrolizumab in combination with trastuzumab, fluoropyrimidine- and platinum-containing chemotherapy for the first-line treatment of people with locally advanced unresectable or metastatic HER2 positive gastric or gastroesophageal junction (GEJ) adenocarcinoma.[26] Approval was based on the prespecified interim analysis of the first 264 participants of the ongoing KEYNOTE-811 (NCT03615326) trial, a multicenter, randomized, double‑blind, placebo‑controlled trial in people with HER2‑positive advanced gastric or gastroesophageal junction (GEJ) adenocarcinoma who had not previously received systemic therapy for metastatic disease.[26]

In July 2021, the US FDA approved pembrolizumab for high-risk, early-stage, triple-negative breast cancer (TNBC) in combination with chemotherapy as neoadjuvant treatment, and then continued as a single agent as adjuvant treatment after surgery.[27] The FDA also granted regular approval to pembrolizumab in combination with chemotherapy for people with locally recurrent unresectable or metastatic TNBC whose tumors express PD-L1 (Combined Positive Score [CPS] ≥ 10) as determined by an FDA-approved test.[27]

In November 2021, the US FDA approved pembrolizumab for the adjuvant treatment of people twelve years of age and older with stage IIB or IIC melanoma following complete resection.[28]

In November 2021, the US FDA approved pembrolizumab for the adjuvant treatment of renal cell carcinoma for people at intermediate-high or high risk of recurrence following nephrectomy.[29] Approval was based on KEYNOTE-564, a multicenter, randomized (1:1), double-blind, placebo-controlled trial in 994 patients with intermediate-high or high risk of recurrence of RCC, or M1 no evidence of disease.[30]

In March 2022, the US FDA approved pembrolizumab for the treatment of advanced endometrial cancer.[31]

In January 2023, the US FDA approved pembrolizumab for adjuvant treatment following resection and platinum-based chemotherapy for stage IB (T2a ≥ 4 cm), II, or IIIA non-small cell lung cancer.[32]

In October 2023, the US FDA approved pembrolizumab to be used with gemcitabine and cisplatin for locally advanced unresectable or metastatic biliary tract cancer.[33]

Contraindications

If a person is taking corticosteroids or immunosuppressants, those drugs should be stopped before starting pembrolizumab because they may interfere with pembrolizumab; they may be used after pembrolizumab is started to deal with immune-related adverse effects.[14]

Women of child-bearing age should use contraception when taking pembrolizumab; it should not be administered to pregnant women because animal studies have shown that it can reduce tolerance to the fetus, increasing the risk of miscarriage. It is not known whether pembrolizumab is present in breast milk.[14]

As of 2017, the drug had not been tested in people with active infections (including any HIV, hepatitis B or hepatitis C infection), kidney or liver disease, active Central nervous system (CNS) metastases, active systemic autoimmune disease, interstitial lung disease, prior pneumonia, and people with a history of severe reaction to another monoclonal antibody.[14]

Adverse effects

People have had severe infusion-related reactions to pembrolizumab. There have also been severe immune-related adverse effects including lung inflammation (including fatal cases) and inflammation of endocrine organs that caused inflammation of the pituitary gland, of the thyroid (causing both hypothyroidism and hyperthyroidism in different people), and pancreatitis that caused Type 1 diabetes and diabetic ketoacidosis; some people have had to go on lifelong hormone therapy as a result (e.g. insulin therapy or thyroid hormones). People have also had colon inflammation, liver inflammation, kidney inflammation due to the drug.[14][34]

The common adverse reactions have been fatigue (24%), rash (19%), itchiness (pruritus) (17%), diarrhea (12%), nausea (11%) and joint pain (arthralgia) (10%).[14]

Other adverse effects occurring in between 1% and 10% of people taking pembrolizumab have included anemia, decreased appetite, headache, dizziness, distortion of the sense of taste, dry eye, high blood pressure, abdominal pain, constipation, dry mouth, severe skin reactions, vitiligo, various kinds of acne, dry skin, eczema, muscle pain, pain in a limb, arthritis, weakness, edema, fever, chills, myasthenia gravis, and flu-like symptoms.[14]

Mechanism of action

Pembrolizumab is a therapeutic antibody that binds to and blocks PD-1 located on lymphocytes. This receptor is generally responsible for preventing the immune system from attacking the body's own tissues; it is a so-called immune checkpoint.[35][36] Normally, the PD-1 receptor on activated T-cells binds to the PD-L1 or PD-L2 ligands present on normal cells in the body, deactivating any potential cell-mediated immune response against these cells.[37][38] Many cancers make proteins such as PD-L1 that also bind to the PD-1 receptor, thus shutting down the ability of the body to kill the cancer.[18][35] Pembrolizumab works by inhibiting lymphocytes' PD-1 receptors, blocking the ligands that would deactivate it and prevent an immune response. This allows the immune system to target and destroy cancer cells,[39] but also blocks a key mechanism preventing the immune system from attacking the body itself. This checkpoint inhibitor function of pembrolizumab thus has immune-dysfunction side effects as a result.[36]

Tumors often have mutations that cause impaired DNA mismatch repair. This in turn often results in microsatellite instability allowing the tumor to generate numerous mutant proteins that could serve as tumor antigens, triggering an immune response against the tumor. By preventing the self-checkpoint system from blocking the T-cells,[18][40] pembrolizumab appears to facilitate clearance of any such tumor by the immune system.

Pharmacology

Since pembrolizumab is cleared from the circulation through non-specific catabolism, no metabolic drug interactions are expected and no studies were done on routes of elimination.[14] The systemic clearance [rate] is about 0.2 L/day and the terminal half-life is about 25 days.[14]

Chemistry and manufacturing

Pembrolizumab is an immunoglobulin G4, with a variable region against the human PD-1 receptor, a humanized mouse monoclonal [228-L-proline(H10-S>P)]γ4 heavy chain (134-218') disulfide and a humanized mouse monoclonal κ light chain dimer (226-226:229-229)-bisdisulfide.[41]

It is recombinantly manufactured in Chinese hamster ovary (CHO) cells.[42][8]

History

Pembrolizumab was invented by scientists at Organon after which they worked with Medical Research Council Technology (which became LifeArc) starting in 2006, to humanize the antibody; Schering-Plough acquired Organon in 2007, and Merck & Co. acquired Schering-Plough two years later.[43] Inventors Gregory Carven, Hans van Eenennaam and Gradus Dulos were recognized as Inventors of the Year by the Intellectual Property Owners Education Foundation in 2016.[44]

The development program for pembrolizumab was seen as high priority at Organon, but low at Schering and later Merck. In early 2010, Merck terminated development and began preparing to out-license it.[45] Later, in 2010, scientists from Bristol Myers Squibb published a paper in The New England Journal of Medicine showing that their checkpoint inhibitor, ipilimumab (Yervoy), had shown strong promise in treating metastatic melanoma[46] and that a second Bristol Myers Squibb checkpoint inhibitor, nivolumab (Opdivo), was also promising.[45] Merck at that time had little commitment or expertise in either oncology or immunotherapy, but understood the opportunity and reacted strongly, reactivating the program and filing its IND by the end of 2010.[45] As one example, Martin Huber was one of the few senior people at Merck with strong experience in lung cancer drug development, but had been promoted to senior management and was no longer involved in product development. He stepped down from his role to lead clinical development of pembrolizumab for lung cancer.[45]

Scientists at the company argued for developing a companion diagnostic and limiting testing of the drug only to patients with biomarkers showing they were likely to respond, and received agreement from management. Some people, including shareholders and analysts, criticized this decision as it limited the potential market size for the drug, while others argued it increased the chances of proving the drug would work and would make clinical trials faster. (The trials would need fewer patients because of the likelihood of greater effect size.) Moving quickly and reducing the risk of failure was essential for catching up with Bristol-Myers Squibb, which had an approximate five year lead over Merck.[45] The phase I study started in early 2011, and Eric Rubin, who was running the melanoma trial, argued for and was able to win expansion of the trial until it reached around 1300 people. This was the largest Phase I study ever run in oncology, with the patients roughly divided between melanoma and lung cancer.[45]

In 2013, Merck quietly applied for and won a breakthrough therapy designation for the drug. This regulatory pathway was new at the time and not well understood. One of its advantages is that the US FDA holds more frequent meetings with drug developers, reducing the risk of developers of making mistakes or misunderstandings arising from the differences between regulators' expectations and what the developers want to do. This was Merck's first use of the designation and the reduction in regulatory risk was one of the reasons management was willing to put company resources into development.[45]

In 2013, the United States Adopted Name (USAN) name was changed from lambrolizumab to pembrolizumab.[41] In that year clinical trial results in advanced melanoma were published in The New England Journal of Medicine.[47] This was part of the large Phase I NCT01295827 trial.[48]

In September 2014, the US Food and Drug Administration (FDA) approved pembrolizumab under the Fast Track Development Program.[49] It is approved for use following treatment with ipilimumab, or after treatment with ipilimumab and a BRAF inhibitor in advanced melanoma patients who carry a BRAF mutation.[50]

As of 2015, the only PD-1/PD-L1 targeting drugs on the market are pembrolizumab and nivolumab, with clinical developments in the class of drugs receiving coverage in The New York Times.[51]

By April 2016, Merck applied for approval to market the drug in Japan and signed an agreement with Taiho Pharmaceutical to co-promote it there.[52]

In July 2015, pembrolizumab received marketing approval in the European Union.[14][53][8]

In October 2015, the US FDA approved pembrolizumab for the treatment of metastatic non-small cell lung cancer (NSCLC) in people whose tumors express PD-L1 and who have failed treatment with other chemotherapeutic agents.[54]

In July 2016, the US FDA accepted for priority review an application for recurrent or metastatic head and neck squamous cell carcinoma (HNSCC) after a platinum-based chemotherapy.[55] They granted accelerated approval to pembrolizumab as a treatment for patients with recurrent or metastatic (HNSCC) ("regardless of PD-L1 staining") following progression on a platinum-based chemotherapy, based on objective response rates (ORR) in the Phase Ib KEYNOTE-012 study in August of the same year.[56][57]

In May 2017, pembrolizumab received an accelerated approval from the US FDA for use in any unresectable or metastatic solid tumor with DNA mismatch repair deficiencies or a microsatellite instability-high state (or, in the case of colon cancer, tumors that have progressed following chemotherapy).[58] This approval marked the first instance in which the FDA approved marketing of a drug based only on the presence of a genetic mutation, with no limitation on the site of the cancer or the kind of tissue in which it originated.[58][23][40][59] The approval was based on a clinical trial of 149 patients with microsatellite instability-high or mismatch repair deficient cancers who enrolled on one of five single-arm trials. Ninety patients had colorectal cancer, and 59 patients had one of 14 other cancer types. The objective response rate for all patients was 39.6%. Response rates were similar across all cancer types, including 36% in colorectal cancer and 46% across the other tumor types. Notably, there were 11 complete responses, with the remainder partial responses. Responses lasted for at least six months in 78% of responders.[40] Because the clinical trial was fairly small, Merck is obligated to conduct further post-marketing studies to ensure that the results are valid.[60] Pembrolizumab was granted orphan drug designation for SCLC in October 2017.[61]

In June 2018, the US FDA approved pembrolizumab for use in both advanced cervical cancer for PD-L1 positive patients[62] and for the treatment of adult and pediatric patients with refractory primary mediastinal large B-cell lymphoma (PMBCL), or who have relapsed after two or more prior lines of therapy.[63]

In August 2018, the US FDA updated the prescribing information for pembrolizumab to require the use of an FDA-approved companion diagnostic test to determine PD-L1 levels in tumor tissue from patients with locally advanced or metastatic urothelial cancer who are cisplatin-ineligible.[64] On 16 August 2018, the FDA approved the Dako PD-L1 IHC 22C3 PharmDx Assay (Dako North America, Inc.) as a companion diagnostic to select patients with locally advanced or metastatic urothelial carcinoma who are cisplatin-ineligible for treatment with pembrolizumab.[64] The 22C3 assay determines PD-L1 expression by using a combined positive score (CPS) assessing PD-L1 staining in tumor and immune cells.[64] As of August 2018, pembrolizumab is indicated for the treatment of those with locally advanced or metastatic urothelial carcinoma who are not eligible for cisplatin-containing chemotherapy and whose tumors express PD-L1 [Combined Positive Score (CPS) ≥ 10] as determined by an FDA-approved test, or in patients who are not eligible for any platinum-containing chemotherapy regardless of PD-L1 status.[64]

In November 2018, the US FDA granted accelerated approval to pembrolizumab for those with hepatocellular carcinoma (HCC) who have been previously treated with sorafenib.[65]

In February 2019, the US FDA approved pembrolizumab for the adjuvant treatment of patients with melanoma with involvement of lymph node(s) following complete resection.[66] The FDA granted the application orphan drug designation.[66]

In June 2019, the US FDA granted accelerated approval to pembrolizumab for those with metastatic small cell lung cancer (SCLC) with disease progression on or after platinum-based chemotherapy and at least one other prior line of therapy,[61] and the FDA approved pembrolizumab for the first-line treatment of patients with metastatic or unresectable recurrent head and neck squamous cell carcinoma (HNSCC).[67] Pembrolizumab was approved for use in combination with platinum and fluorouracil (FU) for all patients and as a single agent for patients whose tumors express PD‑L1 (Combined Positive Score [CPS] ≥ 1) as determined by an FDA‑approved test.[67] The FDA also expanded the intended use for the PD-L1 IHC 22C3 pharmDx kit to include use as a companion diagnostic device for selecting patients with HNSCC for treatment with pembrolizumab as a single agent.[67]

In July 2019, the US FDA approved pembrolizumab for patients with recurrent, locally advanced or metastatic, squamous cell carcinoma of the esophagus (ESCC) whose tumors express PD-L1 (Combined Positive Score [CPS] ≥ 10), as determined by an FDA-approved test, with disease progression after one or more prior lines of systemic therapy.[19] The FDA also approved a new use for the PD-L1 IHC 22C3 pharmDx kit as a companion diagnostic device for selecting patients for the above indication.[19]

In June 2020, the US FDA approved pembrolizumab as monotherapy for the treatment of adults and children with unresectable or metastatic tumor mutational burden-high (TMB-H) [≥ 10 mutations/megabase (mut/Mb)] solid tumors, as determined by an FDA-approved test, that have progressed following prior treatment and who have no satisfactory alternative treatment options.[68]

In March 2021, the accelerated approval indication in the US for the treatment of people with metastatic small cell lung cancer (SCLC) was removed.[7]

Economics

Pembrolizumab was priced at $150,000 per year when it launched (late 2014).[69]

It was added to the Cancer Drugs Fund list of the English NHS in November 2022 after a "confidential" deal with manufacturer MSD.[70]

Research

In 2015, Merck reported results in 13 cancer types; much attention was given to early results in head and neck cancer.[18][71][72]

As of May 2016, pembrolizumab was in Phase IB clinical trials for triple-negative breast cancer (TNBC), gastric cancer, urothelial cancer, and head and neck cancer (all under the "Keynote-012" trial) and in Phase II trial for TNBC (the "Keynote-086" trial).[73] At ASCO, in June 2016, Merck reported that the clinical development program was directed to around 30 cancers and that it was running over 270 clinical trials (around 100 in combination with other treatments) and had four registration-enabling studies in process.[74]

Results of a Phase III clinical trial in triple-negative breast cancer were reported in Annals of Oncology in October 2019.[75]

Results of a Phase II clinical trial in Merkel-cell carcinoma were reported in The New England Journal of Medicine in June 2016.[76]

Results of a clinical trial in people with untreatable metastases arising from various solid tumors were published in Science in 2017.[77]

A clinical Phase III trial in combination with epacadostat, an Indoleamine 2,3-dioxygenase (IDO1) inhibitor to treat melanoma was completed in 2019.[18][78]

In 2021, researchers reported the results of a five-year follow-up study.[79]

In January 2022, Neoleukin Therapeutics announced a collaboration with Merck for a combination clinical trial of Merck's Pembrolizumab and Neoleukin's NL-201, a de novo protein undergoing a Phase I clinical trial in patients with advanced, relapsed or refractory solid tumors.[80]

In March 2023, Merck reported the results of NRG-GY018, a Phase III clinical trial in patients with stage 3 to 4 or recurrent endometrial carcinoma.[81][82]

In 2022, Merck and Moderna tested Moderna's mRNA-4157/V940 drug candidate, a cancer vaccine, alongside pembrolizumab for treatment of skin and pancreatic cancers. mRNA-4157/V940 went on to win breakthrough status from the FDA.[83][84]

References

  1. "Pembrolizumab (Keytruda) Use During Pregnancy". Drugs.com. 24 September 2019. Archived from the original on 14 June 2020. Retrieved 10 January 2020.
  2. "KEYTRUDA, Microsatellite instability-high cancer". Prescription medicines registrations. Department of Health and Aged Care, Commonwealth of Australia. Archived from the original on 22 November 2022.
  3. "KEYTRUDA, Oesophageal Cancer". Prescription medicines registrations. Department of Health and Aged Care, Commonwealth of Australia. Archived from the original on 22 November 2022.
  4. "KEYTRUDA (pembrolizumab) is indicated for the adjuvant treatment of adult and adolescent (12 years and older) patients with Stage IIB, IIC, or III melanoma who have undergone complete resection". Prescription medicines registrations. Department of Health and Aged Care, Commonwealth of Australia.
  5. "Prescription medicines: registration of new chemical entities in Australia, 2015". Therapeutic Goods Administration (TGA). 21 June 2022. Retrieved 10 April 2023.
  6. "Keytruda 50 mg powder for concentrate for solution for infusion - Summary of Product Characteristics (SmPC)". (emc). 7 April 2020. Archived from the original on 13 December 2017. Retrieved 30 April 2020.
  7. 1 2 3 4 5 6 "Keytruda- pembrolizumab injection, powder, lyophilized, for solution Keytruda- pembrolizumab injection, solution". DailyMed. 17 September 2019. Archived from the original on 17 June 2020. Retrieved 10 January 2020.
  8. 1 2 3 4 5 6 7 8 9 10 11 12 13 14 15 "Keytruda EPAR". European Medicines Agency (EMA). 17 September 2018. Archived from the original on 24 May 2020. Retrieved 30 April 2020. Text was copied from this source which is © European Medicines Agency. Reproduction is authorized provided the source is acknowledged.
  9. "FDA approves pembrolizumab combination for the first-line treatment of cervical cancer". U.S. Food and Drug Administration. 13 October 2021. Archived from the original on 13 October 2021. Retrieved 15 October 2021.
  10. 1 2 3 4 "Pembrolizumab Monograph for Professionals". Drugs.com. American Society of Health-System Pharmacists. Archived from the original on 14 June 2020. Retrieved 15 July 2019.
  11. "FDA approves pembrolizumab for high-risk early-stage triple-negative breast cancer". U.S. Food and Drug Administration. 11 August 2021. Archived from the original on 28 July 2021. Retrieved 28 July 2021.
  12. 1 2 3 4 "FDA Approves First-Line Immunotherapy for Patients with MSI-H/dMMR Metastatic Colorectal Cancer" (Press release). U.S. Food and Drug Administration (FDA). 29 June 2020. Archived from the original on 29 June 2020. Retrieved 29 June 2020. Public Domain This article incorporates text from this source, which is in the public domain.
  13. World Health Organization (2021). World Health Organization model list of essential medicines: 22nd list (2021). Geneva: World Health Organization. hdl:10665/345533. WHO/MHP/HPS/EML/2021.02.
  14. 1 2 3 4 5 6 7 8 9 10 "Keytruda 50 mg powder for concentrate for solution for infusion - Summary of Product Characteristics (SmPC)". (emc). 25 November 2019. Archived from the original on 13 December 2017. Retrieved 10 January 2020.
  15. Redman JM, Gibney GT, Atkins MB (February 2016). "Advances in immunotherapy for melanoma". BMC Medicine. 14 (1): 20. doi:10.1186/s12916-016-0571-0. PMC 4744430. PMID 26850630.
  16. Fuereder T (20 June 2016). "Immunotherapy for head and neck squamous cell carcinoma". Memo. 9 (2): 66–69. doi:10.1007/s12254-016-0270-8. PMC 4923082. PMID 27429658.
  17. "Pembrolizumab (Keytruda) for classical Hodgkin lymphoma". U.S. Food and Drug Administration (FDA). 14 March 2017. Archived from the original on 12 January 2020. Retrieved 12 January 2020. Public Domain This article incorporates text from this source, which is in the public domain.
  18. 1 2 3 4 5 6 7 Syn NL, Teng MW, Mok TS, Soo RA (December 2017). "De-novo and acquired resistance to immune checkpoint targeting". The Lancet. Oncology. 18 (12): e731–e741. doi:10.1016/s1470-2045(17)30607-1. PMID 29208439.
  19. 1 2 3 "FDA approves pembrolizumab for advanced esophageal squamous cell cancer". U.S. Food and Drug Administration (FDA) (Press release). 30 July 2019. Archived from the original on 12 January 2020. Retrieved 10 January 2020. Public Domain This article incorporates text from this source, which is in the public domain.
  20. "Checkpoint Inhibitor Use Changed for Bladder Cancer". National Cancer Institute. 26 July 2018. Archived from the original on 18 March 2021. Retrieved 12 November 2019.
  21. Vachhani P, Chen H (September 2016). "Spotlight on pembrolizumab in non-small cell lung cancer: the evidence to date". OncoTargets and Therapy. 9: 5855–5866. doi:10.2147/ott.s97746. PMC 5045223. PMID 27713639.
  22. Nasser NJ, Gorenberg M, Agbarya A (November 2020). "First line Immunotherapy for Non-Small Cell Lung Cancer". Pharmaceuticals. 13 (11): 373. doi:10.3390/ph13110373. PMC 7695295. PMID 33171686.
  23. 1 2 "FDA grants accelerated approval to pembrolizumab for first tissue/site agnostic indication". U.S. Food and Drug Administration (FDA) (Press release). 23 May 2017. Archived from the original on 23 April 2019. Retrieved 10 January 2020. Public Domain This article incorporates text from this source, which is in the public domain.
  24. Photopoulos J (23 September 2020). "The future of tissue-agnostic drugs". Nature. 585 (7826): S16–S18. Bibcode:2020Natur.585S..16P. doi:10.1038/d41586-020-02679-6. S2CID 221884179.
  25. 1 2 "FDA approves pembrolizumab for esophageal or GEJ carcinoma". U.S. Food and Drug Administration. 22 March 2021. Archived from the original on 23 March 2021. Retrieved 22 March 2021. Public Domain This article incorporates text from this source, which is in the public domain.
  26. 1 2 "FDA grants accelerated approval to pembrolizumab for HER2-positive gastric cancer". U.S. Food and Drug Administration (FDA). 5 May 2021. Archived from the original on 5 May 2021. Retrieved 5 May 2021. Public Domain This article incorporates text from this source, which is in the public domain.
  27. 1 2 "FDA approves pembrolizumab for high-risk early-stage triple-negative b". U.S. Food and Drug Administration (FDA). 27 July 2021. Archived from the original on 27 July 2021. Retrieved 27 July 2021. Public Domain This article incorporates text from this source, which is in the public domain.
  28. "FDA approves pembrolizumab for adjuvant treatment of Stage IIB or IIC". U.S. Food and Drug Administration (FDA). 3 December 2021. Archived from the original on 3 December 2021. Retrieved 4 December 2021. Public Domain This article incorporates text from this source, which is in the public domain.
  29. "FDA approves pembrolizumab for adjuvant treatment of renal cell carcinoma". Center for Drug Evaluation and Research. U.S. Food and Drug Administration (FDA). 17 November 2021.
  30. Choueiri TK, Tomczak P, Park SH, Venugopal B, Ferguson T, Chang YH, et al. (August 2021). "Adjuvant Pembrolizumab after Nephrectomy in Renal-Cell Carcinoma". The New England Journal of Medicine. 385 (8): 683–694. doi:10.1056/NEJMoa2106391. PMID 34407342.
  31. "FDA approves pembrolizumab for advanced endometrial carcinoma". U.S. Food and Drug Administration (FDA). 21 March 2022. Archived from the original on 22 March 2022. Retrieved 21 March 2022.
  32. "FDA approves pembrolizumab as adjuvant treatment for non-small cell lung cancer". U.S. Food and Drug Administration (FDA). 26 January 2023. Archived from the original on 26 January 2023. Retrieved 27 January 2023. Public Domain This article incorporates text from this source, which is in the public domain.
  33. "FDA approves pembrolizumab with chemotherapy for biliary tract cancer". U.S. Food & Drug Administration. 1 November 2023. Archived from the original on 12 November 2023. Retrieved 12 November 2023.
  34. Linardou H, Gogas H (July 2016). "Toxicity management of immunotherapy for patients with metastatic melanoma". Annals of Translational Medicine. 4 (14): 272. doi:10.21037/atm.2016.07.10. PMC 4971373. PMID 27563659.
  35. 1 2 Francisco LM, Sage PT, Sharpe AH (July 2010). "The PD-1 pathway in tolerance and autoimmunity". Immunological Reviews. 236: 219–242. doi:10.1111/j.1600-065X.2010.00923.x. PMC 2919275. PMID 20636820.
  36. 1 2 Buqué A, Bloy N, Aranda F, Castoldi F, Eggermont A, Cremer I, et al. (April 2015). "Trial Watch: Immunomodulatory monoclonal antibodies for oncological indications". Oncoimmunology. 4 (4): e1008814. doi:10.1080/2162402x.2015.1008814. PMC 4485728. PMID 26137403.
  37. Riley JL (May 2009). "PD-1 signaling in primary T cells". Immunological Reviews. 229 (1): 114–125. doi:10.1111/j.1600-065X.2009.00767.x. PMC 3424066. PMID 19426218.
  38. "pembrolizumab". National Cancer Institute. 2 February 2011. Archived from the original on 23 October 2020. Retrieved 3 December 2020.
  39. Pardoll DM (March 2012). "The blockade of immune checkpoints in cancer immunotherapy". Nature Reviews. Cancer. 12 (4): 252–264. doi:10.1038/nrc3239. PMC 4856023. PMID 22437870.
  40. 1 2 3 Bala S, Nair A, Lemery S, Marcus L, Goldberg KB, Pazdur R (30 May 2017). "FDA D.I.S.C.O.: First Tissue/Site Agnostic Approval Transcript". U.S. Food and Drug Administration (FDA). Archived from the original on 12 January 2020. Retrieved 12 January 2020. Public Domain This article incorporates text from this source, which is in the public domain.
  41. 1 2 "Statement on a Nonproprietary Name Adopted by the USAN Council" (PDF). AMA ASSN. 27 November 2013. Archived (PDF) from the original on 26 October 2020. Retrieved 5 November 2016.
  42. "Assessment report: Keytruda. Procedure No. EMEA/H/C/003820/0000" (PDF). European Medicines Agency (EMA). 21 May 2015. Archived (PDF) from the original on 14 June 2018. Retrieved 5 November 2016.
  43. "Unlocking Checkpoint Inhibition". Translational Scientist. 9 August 2016. Archived from the original on 5 November 2018. Retrieved 5 November 2016.
  44. "Inventors of the Year". Inventors Digest. 19 December 2016. Archived from the original on 28 October 2020. Retrieved 8 May 2017.
  45. 1 2 3 4 5 6 7 Shaywitz D (26 July 2017). "The Startling History Behind Merck's New Cancer Blockbuster". Forbes. Archived from the original on 26 July 2017. Retrieved 26 July 2017.
  46. Hodi FS, O'Day SJ, McDermott DF, Weber RW, Sosman JA, Haanen JB, et al. (August 2010). "Improved survival with ipilimumab in patients with metastatic melanoma". The New England Journal of Medicine. 363 (8): 711–723. doi:10.1056/nejmoa1003466. PMC 3549297. PMID 20525992.
  47. Hamid O, Robert C, Daud A, Hodi FS, Hwu WJ, Kefford R, et al. (July 2013). "Safety and tumor responses with lambrolizumab (anti-PD-1) in melanoma". The New England Journal of Medicine. 369 (2): 134–144. doi:10.1056/nejmoa1305133. PMC 4126516. PMID 23724846.
  48. Clinical trial number NCT01295827 for "Study of Pembrolizumab (MK-3475) in Participants With Progressive Locally Advanced or Metastatic Carcinoma, Melanoma, or Non-small Cell Lung Carcinoma (P07990/MK-3475-001/KEYNOTE-001) (KEYNOTE-001)" at ClinicalTrials.gov
  49. "FDA approves Keytruda for advanced melanoma" (Press release). U.S. Food and Drug Administration (FDA). 4 September 2014. Archived from the original on 27 December 2015. Retrieved 24 December 2015. Public Domain This article incorporates text from this source, which is in the public domain.
  50. "FDA Approves Anti-PD-1 Drug for Advanced Melanoma". cancernetwork.com. Archived from the original on 10 January 2016. Retrieved 7 September 2014.
  51. Pollack A (29 May 2015). "New Class of Drugs Shows More Promise in Treating Cancer". The New York Times. Archived from the original on 29 May 2015. Retrieved 30 May 2015.
  52. "Merck & Co and Taiho to co-promote cancer immunotherapy pembrolizumab in Japan". The Pharma Letter. 13 April 2016. Archived from the original on 18 April 2018. Retrieved 10 November 2016.
  53. "Keytruda index page at EMA". European Medicines Agency (EMA). Archived from the original on 20 June 2018. Retrieved 10 November 2016.
  54. "FDA approves Keytruda for advanced non-small cell lung cancer" (Press release). U.S. Food and Drug Administration (FDA). 2 October 2015. Archived from the original on 8 November 2015. Retrieved 12 January 2020. Public Domain This article incorporates text from this source, which is in the public domain.
  55. Potential Biomarkers Identified for Pembrolizumab in Head and Neck Cancer. July 2016
  56. "pembrolizumab (Keytruda)" (Press release). U.S. Food and Drug Administration (FDA). 5 August 2016. Archived from the original on 16 December 2019. Retrieved 10 January 2020. Public Domain This article incorporates text from this source, which is in the public domain.
  57. "FDA Approves Pembrolizumab for Head and Neck Cancer". OncLive. 6 August 2016. Archived from the original on 5 December 2021. Retrieved 5 December 2021.
  58. 1 2 "FDA approves first cancer treatment for any solid tumor with a specific genetic feature". U.S. Food and Drug Administration (FDA) (Press release). 23 May 2017. Archived from the original on 12 January 2020. Retrieved 10 January 2020. Public Domain This article incorporates text from this source, which is in the public domain.
  59. Ledford H (24 May 2017). "Tissue-independent cancer drug gets fast-track approval from US regulator". Nature. doi:10.1038/nature.2017.22054. Archived from the original on 12 November 2020. Retrieved 17 June 2017.
  60. "Accelerated approval notice: BLA 125514/S-14" (PDF). U.S. Food and Drug Administration (FDA). 23 May 2017. Archived (PDF) from the original on 28 August 2021. Retrieved 17 June 2017. Public Domain This article incorporates text from this source, which is in the public domain.
  61. 1 2 "FDA approves pembrolizumab for metastatic small cell lung cancer". U.S. Food and Drug Administration (FDA) (Press release). 17 June 2019. Archived from the original on 6 April 2020. Retrieved 10 January 2020. Public Domain This article incorporates text from this source, which is in the public domain.
  62. "FDA Approves Pembrolizumab for Advanced Cervical Cancer with Disease Progression During or After Chemotherapy". ASCO. 12 June 2018. Archived from the original on 12 January 2020. Retrieved 13 June 2018.
  63. "FDA approves pembrolizumab for treatment of relapsed or refractory PMBCL". U.S. Food and Drug Administration (FDA) (Press release). 13 June 2018. Archived from the original on 12 January 2020. Retrieved 16 June 2018. Public Domain This article incorporates text from this source, which is in the public domain.
  64. 1 2 3 4 "FDA updates prescribing information for Keytruda and Tecentriq". U.S. Food and Drug Administration (Press release). 16 August 2018. Archived from the original on 22 December 2020. Retrieved 10 January 2020. Public Domain This article incorporates text from this source, which is in the public domain.
  65. "FDA grants accelerated approval to pembrolizumab for hepatocellular carcinoma". U.S. Food and Drug Administration (FDA) (Press release). 9 November 2018. Archived from the original on 12 January 2020. Retrieved 10 January 2020. Public Domain This article incorporates text from this source, which is in the public domain.
  66. 1 2 "FDA approves pembrolizumab for adjuvant treatment of melanoma". U.S. Food and Drug Administration (FDA) (Press release). 15 February 2019. Archived from the original on 12 January 2020. Retrieved 10 January 2020. Public Domain This article incorporates text from this source, which is in the public domain.
  67. 1 2 3 "FDA approves pembrolizumab for first-line treatment of head and neck squamous cell carcinoma". U.S. Food and Drug Administration (FDA) (Press release). 10 June 2019. Archived from the original on 16 December 2019. Retrieved 10 January 2020. Public Domain This article incorporates text from this source, which is in the public domain.
  68. "FDA approves pembrolizumab for adults and children with TMB-H solid tumors". U.S. Food and Drug Administration (FDA). 17 June 2020. Archived from the original on 15 March 2021. Retrieved 19 June 2020.
  69. "Amgen slaps record-breaking $178K price on rare leukemia drug Blincyto". Archived from the original on 1 April 2016. Retrieved 29 April 2016.
  70. "NHS reaches deal for life-saving breast-cancer drug". BBC. 8 November 2022. Archived from the original on 11 November 2022. Retrieved 11 November 2022.
  71. Timmerman L (2 June 2015). "ASCO Wrapup: Immunotherapy Shines, Hope For Brain Tumors, & The Great Cancer Drug Price Debate". Forbes. Archived from the original on 8 November 2020. Retrieved 8 September 2017.
  72. Adams KT (24 July 2015). "Cancer Immunotherapies--and Their Cost--Take Center Stage at ASCO's 2015 Annual Meeting". Managed Care Magazine Online. Archived from the original on 13 December 2017. Retrieved 5 November 2016.
  73. Jenkins K (5 May 2016). "Keytruda Impresses in Triple-Negative Breast Cancer". MedPage Today. Archived from the original on 19 December 2016. Retrieved 14 May 2016.
  74. "Merck & Co updates Keytruda findings at ASCO". The Pharma Letter. 10 June 2016. Archived from the original on 5 November 2016. Retrieved 5 November 2016.
  75. Schmid P, Cortés J, Dent R, Pusztai L, McArthur HL, Kuemmel S, et al. (2019). "KEYNOTE-522: Phase III study of pembrolizumab (pembro) + chemotherapy (chemo) vs placebo (pbo) + chemo as neoadjuvant treatment, followed by pembro vs pbo as adjuvant treatment for early triple-negative breast cancer (TNBC)". Annals of Oncology. 30 (5): v853–v854. doi:10.1093/annonc/mdz394.003.
  76. Nghiem PT, Bhatia S, Lipson EJ, Kudchadkar RR, Miller NJ, Annamalai L, et al. (June 2016). "PD-1 Blockade with Pembrolizumab in Advanced Merkel-Cell Carcinoma". The New England Journal of Medicine. 374 (26): 2542–2552. doi:10.1056/NEJMoa1603702. PMC 4927341. PMID 27093365.
  77. Le DT, Durham JN, Smith KN, Wang H, Bartlett BR, Aulakh LK, et al. (July 2017). "Mismatch repair deficiency predicts response of solid tumors to PD-1 blockade". Science. 357 (6349): 409–413. Bibcode:2017Sci...357..409L. doi:10.1126/science.aan6733. PMC 5576142. PMID 28596308.
  78. Clinical trial number NCT02752074 for "A Phase 3 Study of Pembrolizumab + Epacadostat or Placebo in Subjects With Unresectable or Metastatic Melanoma (Keynote-252 / ECHO-301)" at ClinicalTrials.gov
  79. Reck M, Rodríguez-Abreu D, Robinson AG, Hui R, Csőszi T, Fülöp A, et al. (July 2021). "Five-Year Outcomes With Pembrolizumab Versus Chemotherapy for Metastatic Non-Small-Cell Lung Cancer With PD-L1 Tumor Proportion Score ≥ 50". Journal of Clinical Oncology. 39 (21): 2339–2349. doi:10.1200/JCO.21.00174. PMC 8280089. PMID 33872070.
  80. "Neoleukin Therapeutics Announces Clinical Collaboration with Merck to Evaluate NL-201 in Combination with KEYTRUDA (pembrolizumab)" (Press release). Neoleukin Therapeutics. Archived from the original on 10 January 2022. Retrieved 10 January 2022.
  81. Clinical trial number NCT03914612 for "A Phase III Randomized, Placebo-Controlled Study of Pembrolizumab (MK-3475, NSC #776864) in Addition to Paclitaxel and Carboplatin for Measurable Stage III or IVA, Stage IVB or Recurrent Endometrial Cancer" at ClinicalTrials.gov
  82. Eskander RN, Sill MW, Beffa L, Moore RG, Hope JM, Musa FB, et al. (March 2023). "Pembrolizumab plus Chemotherapy in Advanced Endometrial Cancer". The New England Journal of Medicine. 388 (23): 2159–2170. doi:10.1056/NEJMoa2302312. PMC 10351614. PMID 36972022. S2CID 257765751.
  83. "Precision medicine meets cancer vaccines". Nature Medicine. 29 (6): 1287. June 2023. doi:10.1038/s41591-023-02432-2. PMID 37328586. S2CID 259184146.
  84. Bafaloukos D, Gazouli I, Koutserimpas C, Samonis G (March 2023). "Evolution and Progress of mRNA Vaccines in the Treatment of Melanoma: Future Prospects". Vaccines. 11 (3): 636. doi:10.3390/vaccines11030636. PMC 10057252. PMID 36992220.
Attribution

Further reading

This article is issued from Wikipedia. The text is licensed under Creative Commons - Attribution - Sharealike. Additional terms may apply for the media files.