| Rolando fracture | |
|---|---|
![]() | |
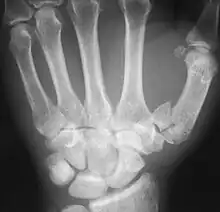
| Complete break at base of thumb | |
| Specialty | Hand surgery |
The Rolando fracture is a type of broken finger involving the base of the thumb.[1]
It is an intra-articular fracture.[2]
It was first described in 1910 by Silvio Rolando.[3] It is typically T- or Y-shaped.[4]
Treatment
There are several proposed methods of treatment. The quality of reduction does not correlate with late symptoms and osteoarthritic changes. Despite this fact, the joint surface should be restored as close to its anatomical position as possible. Some advocate fixation with Kirschner wires, or plate and screw constructions. Another accepted treatment is an external fixator accompanied by the tension band wiring technique.[5]
Tension band wiring is a technique in which the bone fragments are transfixed by Kirschner wires, which are then also used as an anchor for a loop of flexible wire. As the loop is tightened the bone fragments are compressed together.
Prognosis
The Rolando fracture is less common than the Bennett's fracture, and is associated with a worse prognosis.
History
It was first described in 1910 by Silvio Rolando.[3]
See also
References
- ↑ White, Timothy O.; Mackenzie, Samuel P.; Gray, Alasdair J. (2016). "13. Hand". McRae's Orthopaedic Trauma and Emergency Fracture Management (3rd ed.). Elsevier. pp. 275–277. ISBN 978-0-7020-5728-1.
- ↑ "Wheeless' Textbook of Orthopaedics".
- 1 2 Rolando S. Fracture de la base du premier metacarpien et principalement sur une variete` non encore e`crite. Presse Med 1910;33:303–4 [in French].
- ↑ Feletti, Francesco; Varacallo, Matthew (2022). "Rolando Fractures". StatPearls. StatPearls Publishing. PMID 31194364.
- ↑ Howard, FM (Jul 1987). "Fractures of the basal joint of the thumb". Clinical Orthopaedics and Related Research. 220 (220): 46–51. doi:10.1097/00003086-198707000-00007. PMID 3595009.
- Bibliography
- Canale, S. Terry; Beaty, James H., eds. (2008). "64". Campbell's operative orthopaedics. Vol. 4 (11th ed.). Philadelphia, PA: Mosby/Elsevier. pp. 3927–3931. ISBN 978-0-323-03329-9.
Further reading
- Edmunds, JO (Aug 2006). "Traumatic dislocations and instability of the trapeziometacarpal joint of the thumb" (PDF). Hand Clinics. 22 (3): 365–92. doi:10.1016/j.hcl.2006.05.001. PMID 16843802. Archived from the original (PDF) on 2011-07-17.
