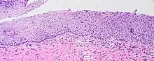
LEEP cone biopsy displaying normal cervical epithelium (far left) progressing to borderline koilocytosis, to LSIL, and to HSIL (far right).

A squamous intraepithelial lesion (SIL) is an abnormal growth of epithelial cells on the surface of the cervix, commonly called squamous cells. This condition can lead to cervical cancer, but can be diagnosed using a Pap smear or a colposcopy. It can be treated by using methods that remove the abnormal cells, allowing normal cells to grow in their place.[1] In the Bethesda system, the cytology can be graded as LSIL (low-grade squamous intraepithelial lesion) or HSIL (high-grade squamous intraepithelial lesion).

References

  1. "Squamous intraepithelial lesion". MedFriendly. Retrieved 11 July 2009.


This article is issued from Wikipedia. The text is licensed under Creative Commons - Attribution - Sharealike. Additional terms may apply for the media files.