
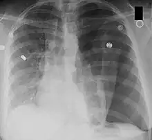
Left tension pneumothorax seen as a large, well-demarcated area devoid of lung markings with tracheal deviation and movement of the heart away from the affected side (mediastinal shift). There is also small pleural effusion on the left side.
Mediastinal shift is the deviation of the mediastinal structures towards one side of the chest cavity, usually seen on chest radiograph. It indicates a severe asymmetry of intrathoracic pressures.[1] Mediastinal shift may be caused by volume expansion on one side of the thorax, volume loss on one side of the thorax, mediastinal masses and vertebral or chest wall abnormalities. An emergent condition classically presenting with mediastinal shift is tension pneumothorax. It is also a useful indicator of malignant pleural effusion.[2]
Mediastinal shift may be detected on antenatal ultrasound in certain fetal conditions.[3]
References
- ↑ Reed, James C. (2018). Chest radiology : patterns and differential diagnoses (Seventh ed.). Philadelphia, PA: Elsevier. ISBN 9780323510219. OCLC 1012134513.
- ↑ Khajotia, R. (2012). "Respiratory Clinics: MEDIASTINAL SHIFT: A SIGN OF SIGNIFICANT CLINICAL AND RADIOLOGICAL IMPORTANCE IN DIAGNOSIS OF MALIGNANT PLEURAL EFFUSION". Malaysian Family Physician. 7 (1): 34–36. ISSN 1985-207X. PMC 4170449. PMID 25606244.
- ↑ Colombani, M.; Rubesova, E.; Potier, A.; Quarello, E.; Barth, R.A.; Devred, P.; Petit, P.; Gorincour, G. (February 2011). "Conduite à tenir devant une déviation médiastinale fœtale : une approche pratique". Journal de Radiologie. 92 (2): 118–124. doi:10.1016/j.jradio.2010.12.002. PMID 21352743.
This article is issued from Wikipedia. The text is licensed under Creative Commons - Attribution - Sharealike. Additional terms may apply for the media files.