Struma ovarii
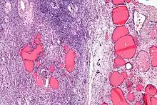
Micrograph of a struma ovarii. Characteristic thyroid follicles are seen on the right, and ovarian stroma on the left. H&E stain.
SpecialtyOncology Edit this on Wikidata

A struma ovarii (literally: goitre of the ovary) is a rare form of monodermal teratoma that contains mostly thyroid tissue, which may cause hyperthyroidism.[1]

Despite its name, struma ovarii is not restricted to the ovary.

The vast majority of struma ovarii are benign tumours; however, malignant tumours of this type are found in a small percentage of cases.[2]

Radiologic findings

The ultrasound (US) features of struma ovarii are nonspecific, but a heterogeneous, predominantly solid mass may be seen. US demonstrates a complex appearance with multiple cystic and solid areas, findings that reflect the gross pathologic appearance of the tumor.

Magnetic resonance imaging findings may be more characteristic: The cystic spaces demonstrate both high and low signal intensity on T1- and T2-weighted images. Some of the cystic spaces may demonstrate low signal intensity on both T1- and T2-weighted images due to the thick, gelatinous colloid of the struma. No fat is evident in these lesions.[3]

Additional images

See also

References

  1. Kim D, Cho HC, Park JW, Lee WA, Kim YM, Chung PS, et al. (March 2009). "Struma ovarii and peritoneal strumosis with thyrotoxicosis". Thyroid. 19 (3): 305–308. doi:10.1089/thy.2008.0307. PMID 19265502.
  2. Struma Ovarii at eMedicine
  3. Outwater EK, Siegelman ES, Hunt JL (Mar–Apr 2001). "Ovarian teratomas: tumor types and imaging characteristics". Radiographics. 21 (2): 475–490. doi:10.1148/radiographics.21.2.g01mr09475. PMID 11259710.
This article is issued from Wikipedia. The text is licensed under Creative Commons - Attribution - Sharealike. Additional terms may apply for the media files.